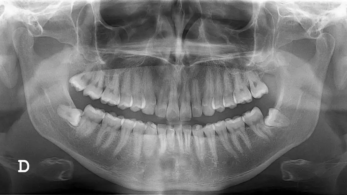
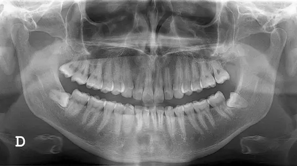
عکس opg چیست؟
تبلیغات

احتمالا شما هم وقتی به دندانپزشکی مراجعه کرده اید با این کلمه روبه رو شده اید که می بایست از دندان هایتان عکس opg تهیه شود. اما واقعا عکس opg و چه کاربردی در دندانپزشکی دارد؟

به گزارش رکنا ، از عکس های opg جهت تشخیص دقیق مشکلات فک و دندان ها استفاده می گردد. OPG مخفف کلمه Ortho Pantomo Gram است که کلمه Ortho در آن به واژه ارتودنسی دندان باز می گردد. به وسیله عکس او پی جی می توان موقعیت کلیه دندان ها، عفونت ها، پوسیدگی دندان و کلیه موارد مهم دیگر در دندانپزشکی را مشاهده نمود. این نوع عکس در دسته عکس های رادیوگرافی و رادیولوژی قرار می گیرد.

تصویر برداری opg از نوع اشعه ایکس می باشد. به وسیله پرتو ایکس که توسط دستگاه رادیوگرافی تولید می گردد می توان جزئیات فک بالا و پایین را به صورت واضح مشاهده نمود.

چه زمان نیاز به عکس OPG دارید ؟

برای بررسی وضعیت شکستگی دندان ها

فکی که در رفته است.

عفونت های دندانی یا عصب کشی دندان

ایمپلنت دندان

برای بررسی وضعیت دندان ها قبل از جراحی هایی همچون جراحی دندان عقل

مزایای رادیوگرافی OPG چیست ؟

تصویر برداری از دندان با روش OPG بسیار آسان تر، سریع تر و بی دردسر تر نسبت به سایر روش های عکس برداری همچون توموگرافی رایانه ای چند برشی (MCT) ، پاناروما و... است. علاوه بر این عکس برداری به این روش هیچ تاثیر مخربی بر روی بدن شما ندارد.

خطرات عکسبرداری به روش OPG

عکس برداری به این روش علاوه بر اینکه مزایای زیادی دارد، دارای خطرات جانبی نیز می باشد. این خطرات عبارت اند از :

احتمال بسیار کم در سقط جنین

درصورتی که برای طولانی مدت در معرض تابش اشعه ایکس قرار بگیرید، احتمال بسیار کمی وجود دارد که به سرطان مبتلا شوید.

نحوه انجام عکسبرداری به روش OPG

برای عکسبرداری شما ابتدا به دندانپزشک خود مراجعه می نمایید و سپس برای شما نسخه تصویر برداری OPG نوشته می شود. به مراکز تصویر برداری مراجعه می کنید.

در مراکز تصویر برداری رادیوگرافی به دو صورت انجام می شود :

روش مستقیم :

در این روش سنسور الکترونیک داخل دهان شما قرار داده می شود تا عکس دندان ها ثبت شود.

روش غیر مستقیم :

در این روش از اسکنر فیلم اشعه ایکس استفاده می گردد تا بتوان عکس های گرفته شده به روش رادیولوژی قدیمی را مانند عکس های دیجیتال مشاهده کرد.

روش نیمه مستقیم :

در این روش که ترکیبی از سنسور و اسکنر می باشد برای تبدیل عکس اشعه ایکس به فیلم دیجیتال استفاده می گردد. شما همچنین می توانید خدمات رادیوگرافی را در منزل انجام دهید. به عنوان مثال برای خانم های باردار خدمات رادیوگرافی در منزل، سونوگرافی در منزل نیز قابل انجام است.

توجه داشته باشید که هنگام تصویر برداری فلزات مثل گردنبند، ساعت، دستبند و... را همراه خود نداشته باشید.

مهم است که به دکتر دندانپزشک بگویید :

اگر شما باردار هستید حتما به دندانپزشک خود بگویید.

گرفتن عکس از دندان چگونه انجام می شود؟

تصویر برداری به این روش بسیار ساده است. نیاز به هیچگونه موافقت کتبی ندارد. شما بر روی یک یونیت می نشینید سپس پزشک رادیوگرافی دستگاه را متناسب با دهان شما قرار می دهد و اسکن شروع می شود. دستگاه دور سر شما می چرخد و عکس سه بعدی از دندان ها گرفته می شود. این نوع عکس هیچگونه احساس دردی برای شما به وجود نمی آورد. مدت زمان عکسبرداری بین 9 الی 20 ثانیه طول می کشد. بعد از آن عکس در مدت زمان کوتاهی در اختیار شما قرار داده می شود.

هزینه عکسبرداری OPG

قیمت عکسبرداری به روش opg در مراکز مختلف متفاوت است. بعضی از مراکز تصویر برداری شامل هزینه بیمه نیز می شوند. عموما هزینه این نوع تصویر برداری مابین 20 الی 50 هزار تومان است.آخرین قیمت های بازار ایران را اینجا کلیک کنید.

اخبار تاپ حوادث

تبلیغات
تبلیغات
تبلیغات

وبگردی