دلایل سیاه شدن لثه + راه های درمان
تبلیغات

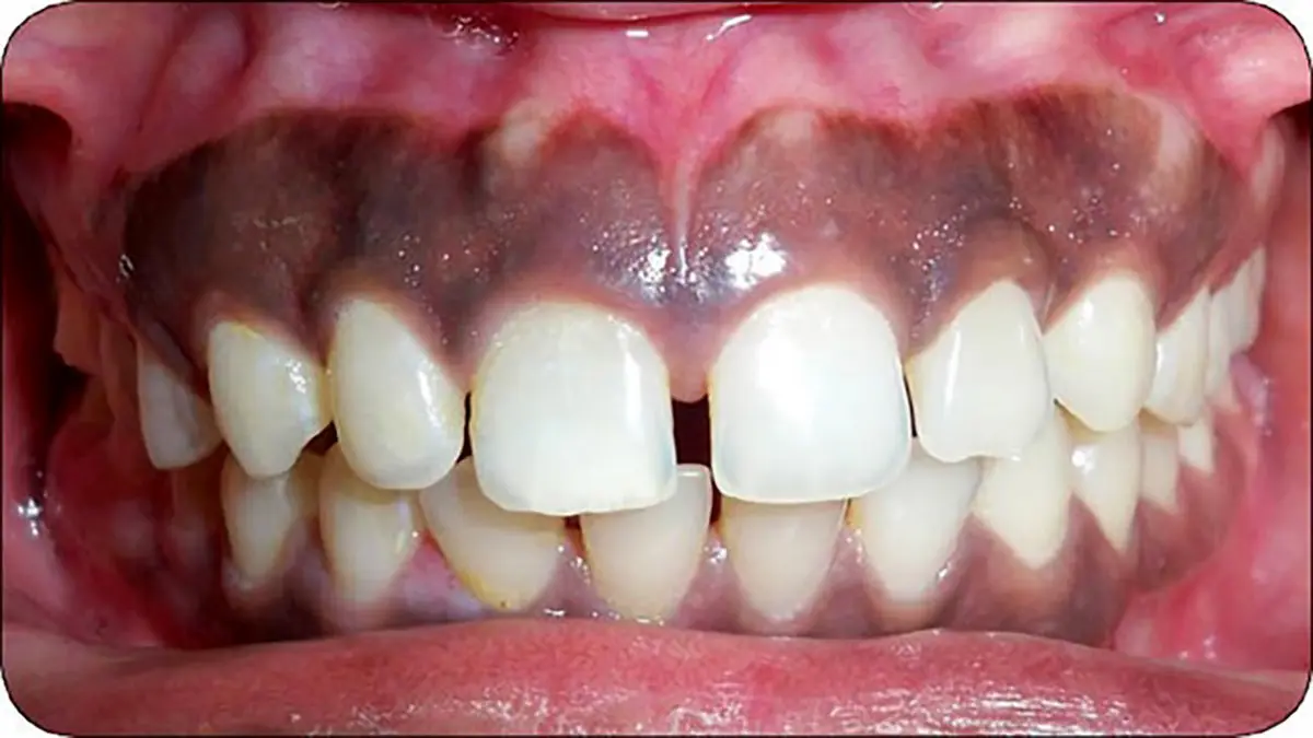
به گزارش رکنا ، به طورمعمول رنگ لثه صورتی است، اما بنا به رنگدانه موجود در لثه می‌تواند قهوه‌ای یا سیاه هم باشد. لثه بافتی سخت دارد تا بتواند دندان‌ها را درخود نگه دارد، اما باید بدانید اگر رنگ لثه شما تغییر کرد نشان دهنده یک مشکل است و باید برای تعیین علت با پزشک مشورت کنید.

۵ علت رنگ سیاه لثه

ملانین

لثه قهوه‌ای یا سیاه رنگ ممکن است به دلیل ملانین بیشتر دربدن باشد. اگر لثه‌های یک شخص همیشه تیره بوده است، هیچ دلیلی برای نگرانی وجود ندارد. اما اگررنگ لثه در یک دوره کوتاه تغییر کند یا لکه‌های سیاه روی لثه ظاهر شود، احتمالاً نشان دهنده یک مشکل است و باید به پزشک مراجعه کرد.

سیگار کشیدن

سیگار کشیدن باعث ایجاد تغییر رنگ لثه می‌شود، زیرا نیکوتین موجود در تنباکو می‌تواند باعث شود ملانوسیت‌ها بیش از حد معمول ملانین تولید کنند. این تغییر رنگ می‌تواند بر لثه یا قسمت داخلی دهان تأثیر بگذارد.

مصرف دارو

داروی مینوسیکلین که برای درمان آکنه و برخی عفونت‌ها مانند کلامیدیا استفاده می‌شود، می‌تواند باعث تغییر رنگ در لثه و دهان شود.

لثه نکروزه

زخم لثه باعث تب، لثه‌های دردناک و بوی بد دهان می‌شود. اگر لایه‌ای از بافت مرده روی لثه‌ها ایجاد شود، عفونت می‌تواند باعث ایجاد لثه‌های سیاه یا خاکستری شود. شست وشوی دهان با دهانشویه دارویی و تمیز کردن دندان و لثه به جلوگیری از تکرار عفونت‌ها کمک می‌کند.

کیست خون آبه

هنگام رشد دندان، کیستی پرازمایع ایجاد می‌شود که ترکیب آن با خون، رنگ تیره‌ای ایجاد می‌کند.

کیست‌ها معمولا بعد از رشد دندان رفع می‌شود. دندان پزشک می‌تواند کیست را با جراحی باز کند.

روش‌های خانگی رفع سیاهی لثه

روغن اکالیپتوس

اکالیپتوس به دلیل خاصیت ضد باکتری و ضد التهابی خود به عنوان درمان بیماری شناخته شده است. یک قطره از این روغن برای از بین بردن چرک و سیاهی دندان لازم است.

برگ‌های مریم گلی

برگ‌های مریم گلی را به عنوان داروی نیروبخش به طور مستقیم روی دندان‌ها و لثه بزنید یا به صورت چایی دم کنید.

چای سبز

راز خاصیت درمانی قوی چای سبز به دلیل وجود غلظت بالای آنتی اکسیدان درون آن است. این مواد طبیعی قادر به مبارزه با انواع بی شماری از باکتری‌های مضر است، از جمله آن‌هایی که ممکن است لثه را سیاه کند.برای ورود به کانال تلگرام ما کلیک کنید.

اخبار تاپ حوادث

تبلیغات
تبلیغات
تبلیغات

وبگردی