ارتباط دیابت و سکته مغزی با التهاب لثه
رکنا: یک متخصص ایمپلنت سرطان پانکراس و خون، دیابت و سکتههای مغزی را از جمله عوارض ناشی از درمان نکردن التهاب لثه دانست.
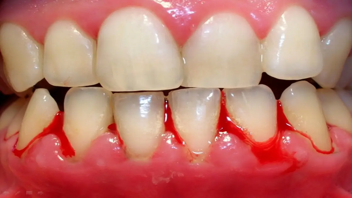
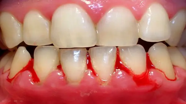
امین رضا چلبیانلو جراح، دندانپزشک و متخصص ایمپلنت اظهار کرد: التهاب لثه بیماری شایع محسوب می شد که شدت این بیماری در افراد، متفاوت است. در این عارضه لثه دچار التهاب و تورم میشود.
وی بیان کرد: بوی بد و طعم بد دهان یکی از علائم این عارضه است؛ در این بیماری، لثه به راحتی در اثر استفاده از مسواک و نخ دندان یا در برخی موارد بدون علت دچار خونریزی میشود.
این متخصص ایمپلنت افزود: علت های متفاوتی در ایجاد التهاب لثه نقش دارند که از جمله این علل میتوان به رعایت نکردن بهداشت دهان و دندان، نصب روکشهای نامناسب بر روی دندانها و ونیرهای کامپوزیتی که به صورت ناصحیح بر روی دندان کار گذاشته شدهاند، اشاره کرد. اگر ونیرهای کامپوزیتی به صورت ناصحیح بر روی دندان کار گذاشته شود، عوارضی همچون التهاب لثه، تحلیل استخوان و از دست رفتن دندان برای فرد پیش میآید.
عوارض مصرف دارو در بروز التهاب لثه
چلبیانلو تاکید کرد: دوران بارداری، یائسگی و بلوغ نیز میتواند سبب بروز التهاب لثه شود؛ بیماری دیابت، کمبود ویتامین C، تغذیه نامناسب و عوارض ناشی از مصرف برخی داروها نیز میتوانند در بیماری التهاب لثه نقش داشته باشند.
وی توصیه کرد: بیماری التهاب لثه در صورتی که به موقع درمان نشود میتواند زمینه را برای بروز سایر بیماریهایی همچون دیابت، اختلالات قلبی و عروقی، سکتههای مغزی، آرتریت روماتوئید، سرطان پانکراس، خون، کلیه و دهان فراهم کند همچنین درمان نشدن این بیماری عوارضی همچون تحلیل استخوان و از دست رفتن دندان را در پی دارد.
چلبیانلو یادآور شد: افراد دچار التهاب و خونریزی لثه باید با مشاهده علائم این بیماری هر چه سریعتر به دندانپزشک مراجعه کنند تا عوارض ناشی از التهاب لثه در آنها کاهش پیدا کند.برای ورود به کانال تلگرام ما کلیک کنید.
ارسال نظر