راهکارهای موثر در پیشگیری از کج شدن دندان کودکان
تبلیغات

به گزارش رکنا ، اگر یکی از بچه‌های شما سابقه دندان کج داشته و یا اینکه خودتان و همسرتان دندان‌های نامنظم و کجی دارید، احتمالا نگران کج درآمدن دندان فرزند یا فرزندان بعدی خود هستید. همه می‌دانیم که برای مدیریت این شرایط باید به یک متخصص خوب ارتودنسی دندان کودکان مراجعه کرد، اما آیا راه حلی وجود دارد که خودمان بتوانیم از کج شدن دندان ها در کودکان‌مان پیشگیری کنیم؟ این مقاله را بخوانید تا با 3 روش ساده خانگی و 3 روش قطعی همیشگی برای جلوگیری از کج شدن دندان ها آشنا شوید.

چه عواملی باعث کج شدن دندان می شود؟

اولین عامل کج در آمدن دندان ها در کودکان ژنتیک و مسائل وراثتی است. به عنوان مثال، اگر یک کودک، فک کوچک یا بزرگ بودن دندان ها را از والدین به ارث ببرد، به طور قطع با کج شدن دندان ها در آینده روبرو خواهد شد. نامرتب بودن دندان‌ها همچنین می‌تواند در نتیجه عادات نوزادی (مانند مکیدن انگشتان یا پستانک) باشد. همچنین وارد شدن ضربه به صورت و دندان در دوران نوزادی و کودکی می‌تواند باعث کج شدن دندان ها شود.

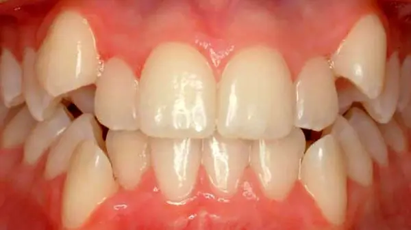
این مسائل باعث شکل‌گیری تعداد زیادی مشکلات ارتودنسی دندان می‌شود که زیبایی لبخند و کیفیت عملکرد کودک را تحت تاثیر قرار می‌دهد. و اگر بپرسد که مشکلات ارتودنسی دندان چیست؟ خواهیم گفت، اپن بایت، اوربایت، آندربایت، کراس بایت، ازدحام دندان ها و .... به همین علت باید برای پیشگیری از کج شدن دندان ها حتما به یک متخصص ارتودنسی مراجعه شود.

آیا کج شدن دندان شیری به معنی کج درآمدن دندان دائمی است؟

در حقیقت کج شدن دندان های شیری (به ویژه دندان های جلو) بسیار معمول است. همچنین ممکن است متوجه شوید که دندان‌های فوقانی بزرگتر از دندان‌های پایین هستند یا ابتدا و پیش از دندان‌های پایینی، این دندان‌های بالایی هستند که بیرون می‌آیند. اینها همه شرایطی کاملاً طبیعی هستند و نباید شما را در مورد سلامت دندان‌های نوزاد نگران کنند.

در واقع به گفته دکتر درویش پور متخصص ارتودنسی در تهران و رتبه اول بورد تخصصی کشور: حتی با وجود دندان شیری کج امکان صاف درآمدن دندان دائمی وجود دارد.

3 روش ساده پیشگیری از کج در آمدن دندان ها

1- به خورد و خوراک کودک خود برسید

زمانی که نوزاد از لحاظ تغذیه‌ای به خوبی و کامل حمایت شود، کمتر سعی به مکیدن چیزی می‌کند. استفاده از شیر مادر و مکمل‌های شیر می‌تواند به خوبی باعث تامین نیازهای غذایی نوزاد شود. احتمالا با داشتن یک تغذیه خوب می‌توانید به خوبی از کج در آمدن دندان ها جلوگیری کنید. مواد غذایی سفت و سخت به کودک ندهید و نگذارید بیش از حد هیچ خوراکی را به دندان بگیرد.

2- مانع از مکیدن بیش از انگشت شست توسط نوزاد شوید

استرس و اضطراب بزرگترین علت مکیدن انگشت توسط کودکان است. زمانی که موجبات آرامش نوزاد را فراهم کنید و استرس را از محیط خانه و اطراف نوزاد دور کنید، قطعا در پیشگیری از کج شدن دندان ها موفق خواهید بود. زیرا نوزاد شما کمتر انگشت خود را می‌مکد.

3- محیط را برای نوزاد امن کنید

وارد شدن ضربه مستقیم به صورت نوزاد می‌تواند یکی دیگر از دلایل کج در آمدن دندان ها باشد. اگر تمام محیط را امن کنید احتمال کج شدن دندان کاهش می‌آبد. زیرا هیچ آسیب فیزیکی به دندان ها وارد نمی‌شود.

سه روش قطعی برای پیشگیری از کج شدن دندان ها در کودکان

در این بخش با سه روش قطعی که می‌توانند مانع از کج شدن دندان ها در آینده شوند آشنا می‌شوید. این روش‌ها توسط متخصص ارتودنسی دندان ارائه می‌شود و جزء ارتودنسی پیشگیری یا ارتودنسی دو مرحله ای به شمار می‌روند.

1-فضا نگهدارنده دندان (یا فضا نگهدار دندان)

استفاده از فضا نگهدار دندان معمولا در زمانی که هنوز دندان‌های دائمی در نیامده‌اند کاربرد دارد. زمانی که به هر دلیلی (مثل پوسیدگی دندان شیری، ضربه یا عوامل ژنتیکی و ...) دندان شیری زودتر از موعد طبیعی خود بی‌افتد، یک جای خالی روی قوس فکی ایجاد می‌کند. این جای خالی می‌تواند باعث کج شدن دندان‌های دیگر شود. زیرا دندان‌ها تمایل دارند که به سمت جای خالی شیفت پیدا کنند. برای مدیریت این شرایط و پیشگیری از کج شدن دندان های شیری، تا زمان در آمدن دندان دائمی، یک فضا نگهدار یا فضا نگهدارنده دندان در محل دندان شیری افتاده کار گذاشته می‌شود.

فضا نگهدارنده توسط یک متخصص ارتودنسی کودکان نصب می‌شود و تا زمان در آمدن دندان دائمی، باید به طور مداوم به نزد این متخصص مراجعه کنید. این فضا نگهدار دندان، معمولا برای دندان‌های مولر (دندان آسیا) استفاده می‌شود. جنس آن‌ها از استیل ضد زنگ است و هزینه استفاده از آن ها بسیار کم است.

فضا نگهدارنده دندان در نوجوانان

اگر دندان دائمی در یک نوجوان (یا کودکی که دندان دائمی دارد) در اثر ضربه به صورت تصادفی شکسته یا افتاده باشد، ممکن است از نوعی فضا نگهدارنده دندان پلاستیکی متحرک (از جنس اکریلیک) برای پیشگیری از کج شدن دندان ها استفاده شود. از این فضا نگهدارنده ارتودنسی تا زمانی که بتوان با یک روش دائم مانند ایمپلنت دندان جای خالی دندان را پر کرد استفاده می‌شود.

2- ارتودنسی پیشگیری

بسیاری از مال اکلوژن‌ها (انواع و درجات مختلفی از ناهماهنگی بین فک بالا و پایین) به محض در آمدن اولین دندان‌های دائمی در کودکان ایجاد می‌شوند. یا بهتر بگوییم، خود را نشان می‌دهند. این ناهماهنگی‌ها می‌توانند ظاهر چهره کودک شما را تغییر داده و حتی عملکردهای جویدن و صحبت کردن او را مختل کنند. این مشکلات باید از سنین 6 سالگی کم کم توسط یک متخصص ارتودنسی خوب تشخیص داده شده و روند درمان ارتودنسی پیشگیرانه شروع شود. متخصصان طی دو مرحله اقدام به برطرف کردن مشکلات ارتودنسی کودکان می‌کنند و سلامتی و زیبایی دندان‌های را در آینده تضمین می‌کنند.

مرحله اول ارتودنسی پیشگیری است و زمانی انجام می‌شود که دندان‌های شیری هنوز کاملا ریزش نکرده‌اند. در مرحله دوم، مشکلات به جای مانده و برطرف نشده در مرحله اول، با دستگاه‌های ارتودنسی از حدود 9 تا 12 سالگی برطرف می‌شوند.

ارتودنسی به طور قطع تمامی دندان‌های کج را صاف و منظم می‌کند. هزینه ارتودنسی پیشگیرانه بسیار کمتر از هزینه ارتودنسی دندان در سنین بالاتر است پس از درمان اولیه غافل نشوید.

3- لوازم ترک عادت کودکان (ابزار درمانی ارتودنسی)

مکیدن انگشت شست یا پستانک برای کودکان یک امر معمول است. با این حال، اگر این عادت تا سال‌های تحصیل او نیز ادامه یابد (درست در بازه زمانی که دندان‌های دائمی رشد می‌کنند) ممکن است مشکلات دندانی زیادی مانند کج شدن دندان‌ها است ایجاد شود. بسته به شدت و مدت زمان مکیدن انگشتان یا پستانک، و فشارهای ناشی از این کار به دندان‌ها، ممکن است دندان‌های جلویی کاملا کج شده و بیرون بزنند. به این حالت اپن بایت گفته می‌شود و در میان کودکان مشکل شایعی است.خط اول پیشگیری از کج شدن دندان ها در این شرایط؛ اغلب شامل رفتار درمانی است. در این درمان طوری با کودک رفتار میشود که عادت مکیدن را ترک کند. اگر این روشها موفقیت آمیز نبود از دستگاه های ارتودنسی برای برطرف کردن این مشکل استفاده می‌شود.برای ورود به کانال تلگرام ما کلیک کنید.

اخبار تاپ حوادث

تبلیغات
تبلیغات
تبلیغات

وبگردی