آمار وحشتناک دو بیماری هولناک در ایران
رکنا: آمار بیماری سل در ایران و ارتباط آن با ایدز توسط محققان کشوری سنجیده شد.
معاون آموزشی بیمارستان مسیح دانشوری با اشاره به برنامه کشوری وزارت بهداشت برای پیشگیری از بروز سل و HIV، گفت: حدود ۸۰ درصد بیماران دارای سل در کشور شناسایی میشوند.
دکتر پیام طبرسی همزمان با هفته اطلاع رسانی ایدز HIV با اشاره به آمار سل در ایران و ارتباط آن با بیماری HIV، گفت: آمار سل در ایران بر اساس تخمین سازمان جهانی بهداشت، ۱۴ در ۱۰۰ هزار نفر است که حدود ۸۰ درصد موارد شناسایی میشوند و با اینکه در حال حاضر وضعیت کشور ما نسبت به منطقه مطلوبتر است با این حال جای کار بیشتری وجود دارد.
وی با بیان اینکه حدود ۳.۸ درصد بیماران دارای سل، به HIV نیز مبتلا هستند، گفت: این مساله درمان افراد را با مشکل روبرو کرده که به همین دلیل نیازمند مراقب بیشتر برای آینده هستیم.
این متخصص بیماریهای عفونی با بیان اینکه در استان گلستان و سیستان و بلوچستان شیوع سل بیشتر است، گفت: تمرکز بروز سل در این دو منطقه بیشتر است ولی آمار مبتلایان به HIV در منطقه خاصی تمرکز نداشته و شیوع این بیماری در زندانها و میان معتادان تزریقی بیشتر است.
این عضو هیات علمی دانشگاه علوم پزشکی شهید بهشتی با تاکید بر ضرورت شناسایی و درمان بیماران HIV با هدف پیشگیری از بروز بیماری، عنوان کرد: با شناسایی و شروع درمان HIV احتمال بروز سل در این افراد کمتر میشود.
طبرسی با اشاره به برنامه کشوری وزارت بهداشت برای پیشگیری از بروز سل و HIV، تصریح کرد: کلینیکهای مجهزی در این رابطه فعال هستند که با مراجعه به سایت وزارت بهداشت میتوان به آنها دسترسی پیدا کرد. بر این اساس افراد HIV مثبت که به درمانگاهها مراجعه میکنند از لحاظ بروز سل بررسی شده و از آنها تست پوستی، عکس و آزمایش خلط و خون گرفته شده و همچنین درمان مربوطه برای آنها آغاز میشود.
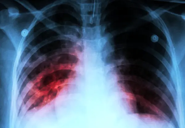
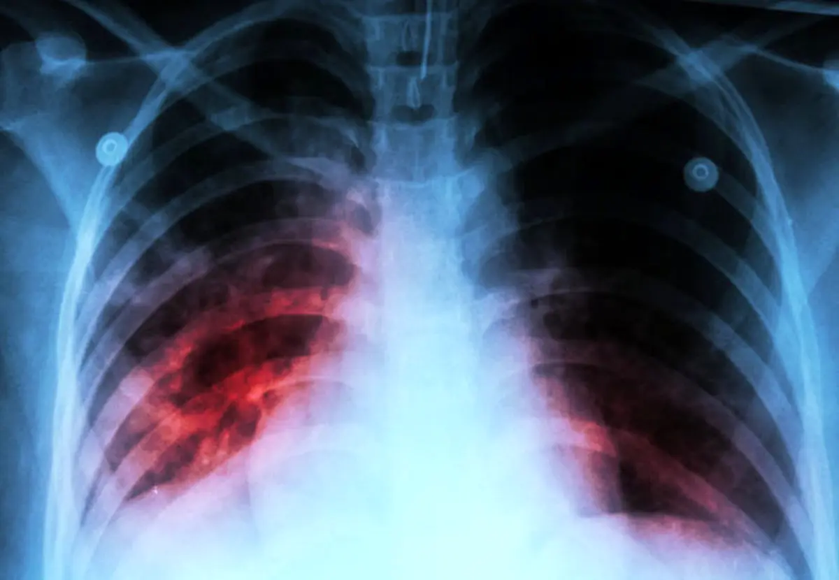
معاون آموزشی بیمارستان مسیح دانشوری در ادامه با اشاره به برخی راههای تشخیص بیمار مسلول، اظهار کرد: بیماران مسلول افرادی هستند با علائم سرفه بیش از ۲ هفته خلط خونی، تعریق شبانه، کاهش وزن، تب طولانی و غیره که باید حتما بررسی شوند. راه عمده شناسایی سل ریوی انجام آزمون اسمیر و کشت خلط از نظر میکروب بیماری سل است و این آزمایش در اکثر آزمایشگاهها و مراکز بهداشتی انجام میشود.
این عضو هیات علمی دانشگاه علوم پزشکی شهید بهشتی در پایان با بیان اینکه درمان بیماری سل با استفاده از داروهای موجود به صورت رایگان در مراکز بهداشتی - درمانی قابل انجام است، افزود: نکته مهم، مصرف صحیح و منظم داروهاست؛ چراکه مصرف نامنظم داروها موجب پیدایش سل مقاوم خواهد شد که این نوع سل احتیاج به مصرف طولانی مدت دارو داشته و عوارض فراوانی خواهد داشت.اخبار 24 ساعت گذشته رکنا را از دست ندهید
ارسال نظر