رکنا:نایب رییس کانون عالی انجمنهای صنفی کارگران ساختمانی با تشریح آخرین آمار ثبت نام کارگران ساختمانی در سامانه خدمات رفاهی، از کارگران خواست تا ۱۵ اردیبهشت ماه نسبت به ثبت و درج اطلاعات خود در این…
رکنا: نوجوانی 16 ساله به اتهام نگهداری سه گرم هروئین به 5 سال حبس در کانون اصلاح و تربیت محکوم شد.
رکنا: 294 مورد پس لرزه در خراسان رضوی از روز گذشته تاکنون رخ داده که 80 مورد آن بالای سه ریشتر بوده است.
رکنا: وجود احتمالی دو گسل در منطقه زلزله زده در مشهد در دست بررسی است.
رکنا: کانون هواداران دو باشگاه استقلال و پرسپولیس و جمعیت حامیان هواداران بزرگترین پرچم ایران در بازی با چین به را دوباره به اهتزار در می آورند.
رکنا: به دنبال انتشار گزارشی تحت عنوان «مشکل سند خودرو در نقطه صفر باقی ماند» کانون سردفتران و دفتریاران توضیحاتی به این شرح ارسال کرده است.
رکنا: افسانه بایگان، بازیگر عرصه سینما، عصر دیروز بیستم اسفندماه خیریه «کانون محبت» را با حضور برخی از چهره های هنری، در تالار ایوان شمس به طور رسمی افتتاح کرد.
رکنا:عضو هیات مدیره کانون بازنشستگان تامین اجتماعی، گفت: برخی از بازنشستگان پایین تر از حداقل حقوق تعیین شده دریافت میکنند که حتی به 400 هزار تومان هم میرسید.
رکنا: در طراحی داخلی، رنگ های خاکستری و سفید اغلب به عنوان پس زمینه و یا به عنوان رنگ های مکمل استفاده می شوند اما استفاده از این رنگ ها در سراسر فضا از ویژگی های سبک اسکاندیناوی به شمار می آید.
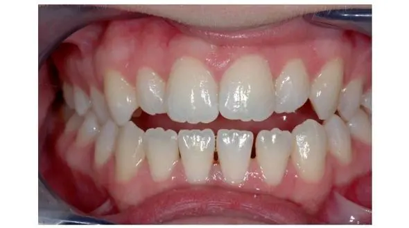
رکنا: در اول رشد آن بخش از جوانه دندانی دندانهای قبل که سبب رویش مینای دندان است، از سه کانون سوا از هم تشکیل شده که این سه کانون طی فرآیند رشد دندان به هم متصل می شوند و دندانههایی که بر روی لبه…
رکنا:رئیس کانون وکلای مرکز با تشریح بیشترین تخلفات وکلا از تدوین تعرفه جدید حق الوکاله وکلا خبر داد.
رکنا:دبیرکل کانون انجمن های صنفی کارفرمایان شرکت های خدماتی کشور گفت: کارفرمایان و کارگران باید به اندازه سهمی که در پرداخت حق بیمه ها دارند، در تصمیم گیری های سازمان تامین اجتماعی اثرگذار باشند.