رکنا: ویدیویی از یک پلیس که مانع از زمین خوردن یک پیرزن از روی پله برقی میشود را مشاهده میکنید.
رکنا:سبک زندگی عجیب یک زن روسی سبب شد تا 122 سالگی عمر کند و شاهد اتفاقات جهانی جالبی باشد.
حوادث رکنا: زن میانسال که قربانی نقشه شوم یک سرقت شده بود با هوشیاری، سرنخ دستگیری دزدان را به پلیس داد.
رکنا: فرمانده انتظامی شهرستان شبستراز مرگ پیرزن67ساله بر اثر گازگرفتگی خبر داد.
حوادث رکنا: با اقدامات فنی ماموران پلیس آگاهی سیرجان سرانجام عامل سرقت به عُنف و سرقت از منزل یک پیرزن و پیرمرد سیرجانی شناسایی و دستگیر شد.
رکنا: جانشین انتظامی شهرستان ایلام از مرگ پیرزن ۸۴ ساله بر اثر گازگرفتگی خبر داد.
رکنا: جراحی زیبایی صورت پیرزن 75 ساله را زیر و رو کرد.
حوادث رکنا: آتشنشانان نیویورک به زن 104 ساله کمک کردند تا به میهمانی کریسمس برود.
رکنا: روح یک پیرزن با موهای سفید در وسط جاده یکی از عجیب ترین صحنه های جاده ای ترسناک در بریتانیاست.
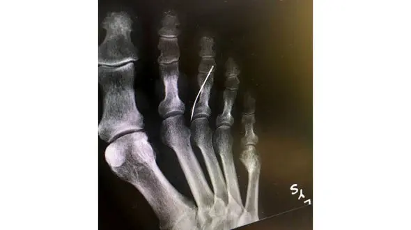
رکنا: بی خبری پیرزن از سوزنی که داخل بدنش بود وی را راهی بیمارستان کرد.
رکنا: پرستار خانه سالمندان به اتهام آزار و اذیت روحی سالمندان دستگیر شد.
حوادث رکنا: پیرزن 101 ساله در چین زمانی که در مراسم تدفینش در تابوت قرار گرفت، زنده شد.