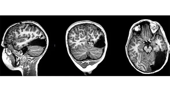
حوادث رکنا: مغز انسان یک عضو بسیار شگفتانگیز است و در گزارشی باورنکردنی آمده که مغز انسان توانایی بازسازی بخش از دست رفته خود را دارد.
رکنا: وازلین تاثیر بی نظیری در زیبایی زنان دارد.
رکنا: مینی سریال هفت قسمتی «زندگی شگفت انگیز» به کارگردانی مجتبی چراغی و با فضایی طنز کلید خورد.
رکنا: افرادی که مدام از عینک استفاده می کنند این ترفندها برای شان کاربردی است.
رکنا: روغن آرگان خواص مفیدی برای سلامت پوست و مو دارد.
رکنا: این ماسک های گیاهی خانگی در چاق کردن صورت معجزه می کنند.
رکنا: آمار رو به افزایش مسافران ایرانی مقصد ترکیه شگفت انگیز است سازمان امور مهاجرت وزارت کشور ترکیه گزارش داد، در نیمه نخست سال 2018، یک میلیون و 159هزار گردشگر ایرانی به ترکیه سفر کردند.
رکنا: یکی از خواص شگفت انگیز روغن ماهی لاغری فوری شکم است.
رکنا: گریه کردن تاثیرات مثبتی در سلامت روان به همراه دارد و گاهی اشک ریختن به حفظ روحیه کمک می کند.
رکنا: کنجد جزو دانه های روغنی پر خاصیت به شمار می رود.
رکنا: 7 کاربرد درمانی شگفت انگیز لیموترش را جدی بگیرید.
رکنا: تصاویر زیبای حرکت پرندگان به صورت گروهی در آسمان فرانسه توجه بسیاری از کاربران فضای مجازی را به خود جلب کرد.