چه زمانی عمل جراحی هیپوفیز ضروری می شود؟
تبلیغات

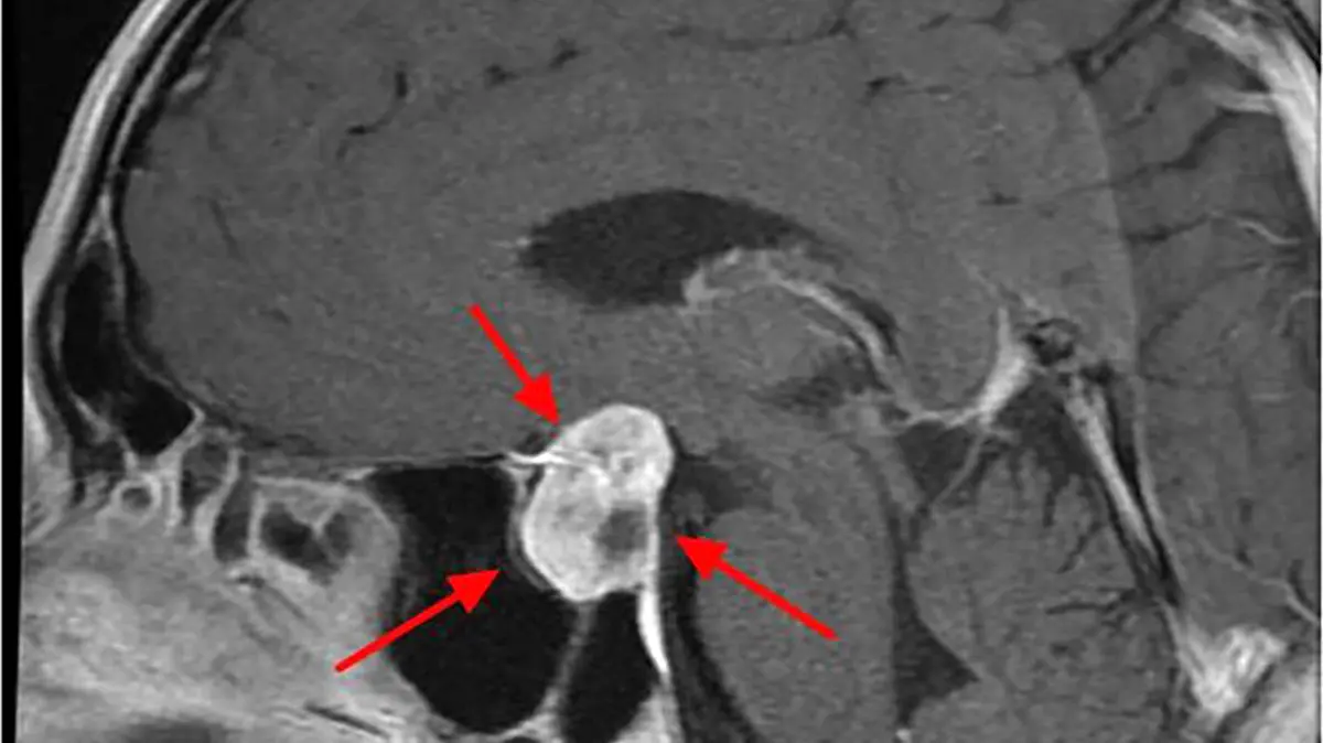
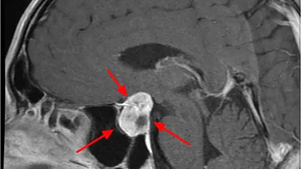
به گزارش رکنا، غده هیپوفیز یک بافت کوچک اما بسیار مهم است که در ناحیه زیرین مغز شما قرار دارد و هورمون های خاصی را به داخل جریان خون ترشح می کند تا کارکرد های ضروری و خاص بدن را کنترل کند.

از جمله آنها می توان به تولید مثل، رشد در دوران کودکی و کارکرد غده تیروئید اشاره کرد. بدون شک هیپوفیز مهم ترین غده در بدن افراد به حساب می آید چرا که در هر لحظه کارهای مهمی در بدن انجام می دهد.

غده هیپوفیز کدام هورمون ها را ترشح می کند؟

غده هیپوفیز در بدن افراد شش هورمون مختلف را تولید و پخش می کند. در ادامه مروری بر این هورمون ها و کارکردشان خواهیم داشت:

    هورمون محرک تیروئید (TSH): کارکرد مربوط به غده تیروئید را در بدن افراد کنترل می کند.

    هورمون آدرنوکورتیکوتروپیک (ACTH): این هورمون غده های آدرنال را جهت تولید آدرنالین تحریک می کند.

    هورمون تحریک پیاز مو (FSH): این هورمون نقش ویژه ای در دوره بلوغ و همچنین تولید مثل افراد ایفا می کند.

    هورمون لوستینیزه کننده (LH): این هورمون به کنترل تولید مثل و همچنین رشد جنسی افراد کمک می کند.

    هورمون رشد (GH): در کنترل رشد بدن در حین کودکی و بلوغ تاثیر ویژه ای دارد.

    پرولاکتین (PRL): این هورمون در بانوان تولید شیر در سینه ها را در حین بارداری کنترل می کند.

اکثر غده های موجود در بدن انسان فقط یک هورمون را تولید می کنند، با این حال غده هیپوفیز به دو دلیل پیچیدگی کارکرد خود و موقعیتی که در مغز و دقیقا پشت بینی قرار دارد؛ بسیار اهمیت ویژه ای دارد.

نه تنها این غده ویژه می تواند شش هورمون مختلف را تولید و در بدن پخش کند، بلکه برخی از این هورمون ها در کنترل هورمون های دیگر نظیر تیروئید نقش دارند.

بنابراین ایجاد تغییرات در کارکرد غده هیپوفیز می تواند تاثیر ویژه و قابل توجهی در سلامت و حالت کلی افراد داشته باشد. حوزه غدد درون ریزی یا همان endocrinology وظیفه بررسی وضعیت تولید و پخش هورمون توسط غده هیپوفیز و دیگر غدد بدن را تحت پوشش قرار می دهد.

اندوکرینولوژی یک تخصص پزشکی خاص است که بافت های هورمونی از قبیل مشکلات هیپوفیز و دیگر موارد نظیر دیابت را تحت درمان قرار می دهد.

تومور هیپوفیز چه زمانی شکل می گیرد؟

رایج ترین نوع تومور های غده هیپوفیز، آدنوم یا همان ورم هیپوفیز است؛ یک تومور غیر سرطانی که بر روی غده مذکور شکل می گیرد.

انواع دیگری از تومور ها نیز وجود دارند که ممکن است شکل بگیرند، اما آدنوم یکی از شایع ترین انواع آن ها به حساب می آید.

آدنوم های غده هیپوفیز در حالت های مختلفی دسته بندی می شوند. آن ها ممکن است خوش خیم (غیر سرطانی)، تهاجمی و یا سرطانی هستند.

این تومور ها ممکن است ترشحی باشند (secretory tumors) به این معنا که هورمون های خاصی را تولید می کنند یا شاید هم تولید نکنند.

اگر آن ها در اندازه یک سانتی متر یا بیشتر باشند، به آن ها ماکروآدنوم می گویند. اما اگر کوچک تر از یک سانتی متر باشند به آن ها میکرو آدنوم می گویند.

انواع دیگری از تومور ها نیز ممکن است در این ناحیه شکل بگیرند اما اکثر آن ها نادر هستند و عمل جراحی ای که روی آن ها انجام می شود شبیه به آدنوم های معمولی غده هیپوفیز می باشد.

راه های تشخیص تومور در غده هیپوفیز

تومور هیپوفیز معمولا در حین انجام آزمایشات و درمان مشکلات غیر مرتبط و معمولا در ناحیه مغز و سر تشخیص داده می شوند.

به عنوان مثال یک دختر جوان که تاکنون کودکی به دنیا نیاورده است؛ شاید ناگهان شروع به تولید شیر در سینه کند و آزمایش های مختلف نشان دهند که مشکل وی مربوط به غده هیپوفیز می شود.

با در نظر گرفتن این موضوع باید بگوییم که بسیاری از تومور های غده هیپوفیز زمانی که به خاطر علائم و یا مشکلات شناسایی نشده باشند؛ به عنوان اینسیدنتالوما شناخته می شوند و در حین بررسی و آزمایش برای یک مشکل سلامتی دیگر تشخیص داده می شوند.

در این شرایط، ممکن است تومور هیپوفیز در نتایج سی تی اسکن از مغز دیده شود؛ آن هم به این خاطر که بیمار به دلیل مشکل سکته احتمالی به اورژانس رفته باشد.

در این صورت، هیچ مشکل و علائمی مرتبط با آدنوم هیپوفیز وجود نداشته است و اگر به خاطر آن نبود اصلا تشخیص داده نمیشد!

علائم ایجاد تومور هیپوفیز چیست؟

در لیست زیر علائمی را آورده ایم که ممکن است در صورت داشتن تومور غده هیپوفیز آن ها را تجربه کنید:

    سر درد هایی که مزمن هستند و ممکن است با گذر زمان تشدید شوند.

    آکرومگالی، مشکلی که بر اثر رشد بیش از حد هورمون پس از توقف رشد افراد اتفاق می افتد و دست و پای افراد بسیار بزرگ می شود. همچنین در صورت عدم درمان آن مشکل درشت شدن عناصر صورت نیز گریبان گیر فرد خواهد شد. وقتی که هورمون رشد زیادی در دوره بلوغ تولید شود، احتمال بروز مشکل ژیگانتیسم – قد خیلی بلند – نیز وجود دارد.

    هیپوپیتویتاریسم که در آن رشد در کودک متوقف می شود.

    سندروم کوشینگ که بر اثر تولید بیش از حد هورمون آدرنوکورتیکوتروپیک از هیپوفیز بروز می کند که معمولا منجر به گرد شدن صورت و ایجاد یک برآمدگی بین شانه ها می گردد.

    بیماری ادیسون که بر اثر میزان خیلی کم هورمون آدرنوکورتیکوتروپیک ایجاد می شود.

    بروز تغییرات در بینایی

    شیر سینه در زنی که تاکنون بچه دار نشده باشد.

    عادت های ماهانه فرد از بین رفته و یا نا منظم می شوند.

    نوسانات خلقی

    ناباروری

    مشکل عدم نعوظ

    تغییرات در وزن

    حس شدید خستگی

    بالا رفتن و یا پایین بودن سطح هورمون های تیروئید

جراحی هیپوفیز

آدنوم های غده هیپوفیز بسیار رایج هستند و از هر 6 فرد حدود یک نفر در طول زندگی خود یک آدنوم بر روی غده هیپوفیز خود خواهد داشت.

خوشبختانه یک آدنوم که مشکلات سلامتی برای فرد ایجاد کند به ندرت در افراد اتفاق می افتد و طبق آمار های منتشر شده از هر هزار آدنوم فقط یک مورد می تواند منجر به بروز علائم گردد.

بسیاری از بیماران که مشکل آدنوم غده هیپوفیز و یا دیگر تومور های خوش خیم را دارند می توانند از انجام عمل جراحی اجتناب کنند.

در واقع برای بیماری که آدنوم هیپوفیز هیچ مشکلی ایجاد نمی کند و دارویی نیاز ندارد، انجام عمل جراحی یک درمان غیر ضروری حساب می شود. دیگر بیماران می توانند با مصرف داروهایی که تغییرات هورمونی مربوط به تومور هیپوفیز را مدیریت می کنند از انجام عمل جراحی اجتناب کنند.

معمولا تنها کسانی کاندیدای انجام عمل جراحی هستند که بدنشان پاسخ خوبی به درمان دارویی نمی دهد و یا به دلیل بروز تومور مشکلات جدی را تجربه می کنند. از جمله این مشکلات می توان به ایجاد تغییرات و یا از دست رفتن بینایی، سردردهای شدید و یا دیگر مشکلات مربوط به عدم تعادل هورمونی اشاره کرد.

اخبار تاپ حوادث

تبلیغات
تبلیغات
تبلیغات

وبگردی