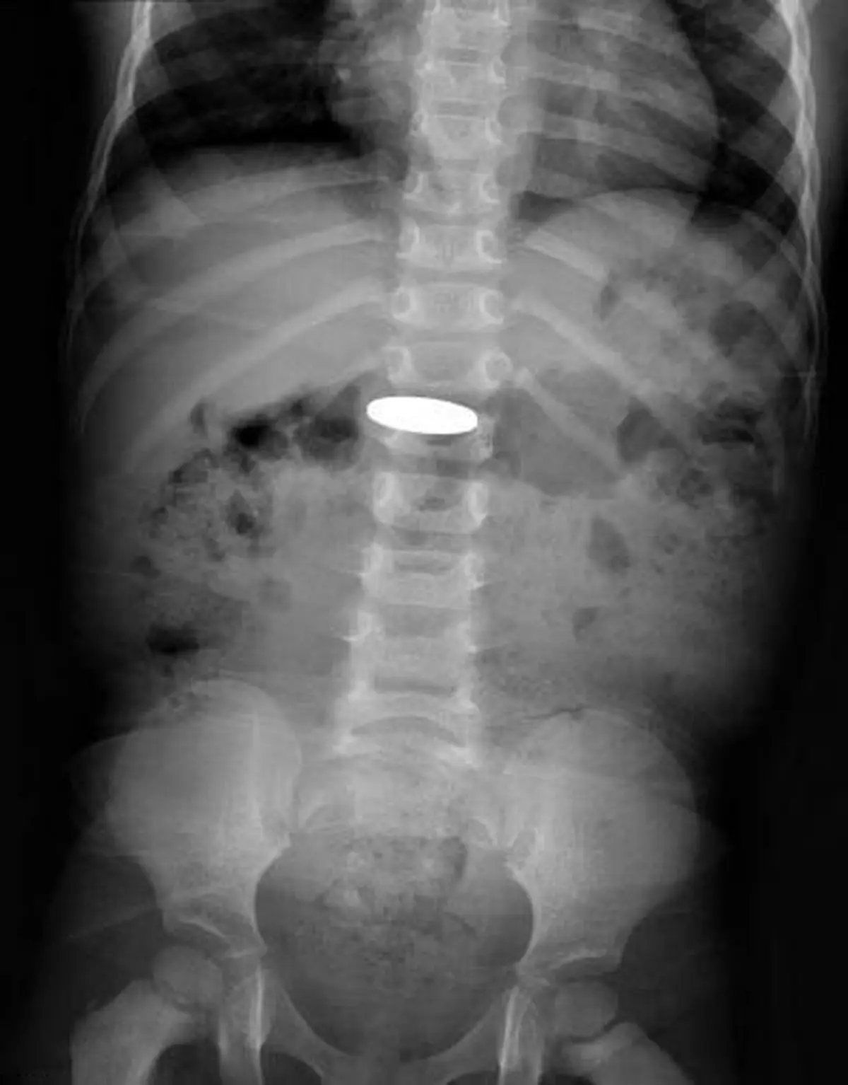
تهدید معده کودکان با باتری دکمه ای
رکنا: پژوهشگران آمریکایی در بررسی جدیدی دریافتند کودکانی که باتری دکمهای را میبلعند، در معرض آسیب شدید معده قرار دارند.
به گزارش مدیکالاکسپرس، بلعیدن باتریهای دکمهای توسط کودکان، میتواند به غشای مخاطی معده آنها آسیب برساند؛ در نتیجه حتی اگر نشانههای خطرناکی در کودک دیده نشود و باتری بدون خطر از مری عبور کند، پزشکان باید فوراً آن را خارج کنند.
"راچا خلف"(Racha Khalaf)، پژوهشگر ارشد این پروژه گفت: ما میدانیم حتی بدون وجود نشانههای خطرناک نیز امکان آسیب رسیدن وجود دارد. ورود باتری به معده میتواند به آسیبهایی از جمله سوراخ شدن دیواره معده منجر شود؛ در نتیجه پزشکان باید باتری را به سرعت خارج کنند تا نتواند از دستگاه گوارش عبور کند.
پژوهشگران بیمارستانهای کودکان در کلرادو، فلوریدا، تگزاس و اوهایو، دادههای مربوط به ۶۸ مورد بلعیدن باتری را از ژانویه ۲۰۱۴ تا مه ۲۰۱۸ گردآوری کردند. پیش از این نیز پژوهشهایی در مورد ورود باتری دکمهای به مری انجام شده بودند اما اطلاعات کمی در مورد تأثیر باتری بر معده در بر داشتند.
خلف ادامه داد: ما موارد بسیاری از آسیبهای ناشی از باتری دکمهای را دیدهایم. این باتریها، در اسباببازیها، کنترلها و ابزاری از این دست به کار میروند؛ در نتیجه همه جا وجود دارند.
وی افزود: ما در ۶۰ مورد از موارد تحت بررسی، آسیبهای شدید به غشای مخاطی معده را مشاهده کردیم که نشانه آشکاری در فرد به جا نگذاشته بودند. این موضوع نشان میدهد که پزشکان و والدین نباید منتظر بروز نشانه خاصی بمانند و باید به سرعت نسبت به خارج کردن باتری اقدام کنند. این کار میتواند نیاز به مراجعه مکرر به بخش اورژانس و عکسبرداریهای پی در پی را کاهش دهد.برای ورود به کانال تلگرام ما کلیک کنید.
ارسال نظر