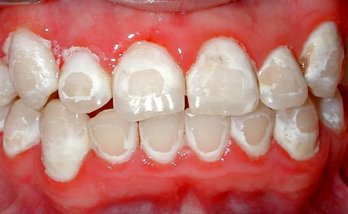
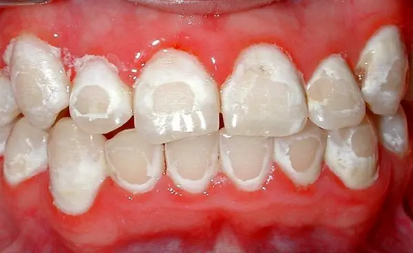
تغییر رنگ در دندان را جدی بگیرید
رکنا: هرگاه روی دندان های خود لکه ای مشاهده کردید آن را جدی بگیرید. چراکه نشانه ابتلا به بیماری سلیاک است.
بیماری های خودایمنی به واسطه تشابه علائم با شرایط دیگر یا نادیده گرفتن علائم و نشانه های اولیه ممکن است تا سال ها تشخیص داده نشوند. در بیماری های خودایمنی، سیستم ایمنی پادتن هایی را تولید می کند که به جای کمک به محافظت از بدن علیه آن وارد عمل شده و به اشتباه به قسمت های سالم حمله می کنند. از جمله بیماری های خودایمنی می توان به بیماری هاشیموتو، بیماری گریوز، آرتریت روماتوئید، دیابت نوع 1، لوپوس، سوریازیس، بیماری اماس، و بیماری شوگرن اشاره کرد.
تشخیص زودهنگام بیماری های خودایمنی می تواند دشوار و چالش برانگیز باشد زیرا علائم و نشانه هایی که در نقاط مختلف بدن ظاهر می شوند ممکن است شبیه علائم بیماری های دیگر به نظر برسند. اما در یک مورد، بررسی شرایط دهان می تواند به تشخیص یک اختلال گوارشی شدید کمک کند.
ظهور ناگهانی لکه های عجیب و غیر طبیعی روی دندان ها ممکن است نشانه ای از ابتلا به بیماری سلیاک باشد. این اختلال خودایمنی یک نفر از هر 100 نفر را در جهان تحت تاثیر قرار می دهد و به گفته بنیاد بیماری سلیاک آمریکا تنها در این کشور تقریبا 2.5 میلیون مورد تشخیص داده نشده وجود دارند.
بیماری سلیاک موجب یک واکنش ایمنی به گلوتن، پروتئینی که در گندم، جو و چاودار وجود دارد، می شود که می تواند به ساختارهای گوارشی در روده کوچک آسیب وارد کند. این بیماری می تواند بر چگونگی جذب مواد مغذی ضروری، مانند کلسیم، نیز تاثیرگذار باشد.
به گفته برخی کارشناسان، تشکیل لکه ها روی دندان ها به طور بالقوه می تواند در نتیجه کمبود کلسیم در بدن رخ دهد.
برای برخی افراد مبتلا به بیماری سلیاک، مراجعه به دندانپزشک به جای متخصص گوارش، نخستین گام در مسیر کشف و تشخیص این شرایط بوده است.
بیماری های خودایمنی گسترده و پیچیده هستند زیرا برخی علائم و نشانه ها متفاوت هستند. به طور میانگین تشخیص یک بیماری خودایمنی پس از مراجعه به پنج تا شش پزشک و گذشت پنج سال صورت می گیرد.
در همین راستا، توجه به علائم و نشانه های هشدار دهنده اولیه ابتلا به یک اختلال سیستم ایمنی اهمیت ویژه دارد که از جمله مهمترین آنها می توان به موارد زیر اشاره کرد:
- ظهور وصله های سفید روی پوست یا درون دهان
- راش پوستی پروانه ای شکل در امتداد بینی و گونه ها
- راش های پوستی عود کننده یا کهیرها و حساسیت به نور خورشید
- ریزش مو
- خستگی
- خشکی چشم، دهان و پوست
- لرز
- بی حسی یا احساس سوزن سوزن شدن در دست ها یا پاها
- کاهش وزن
- بی خوابی
اگر با یک یا تعداد بیشتری از این نشانه ها مواجه هستید، مراجعه به پزشک برای بررسی دقیق شرایط و احتمال ابتلا به یک بیماری خودایمنی بهترین اقدام محسوب می شود.
برای ورود به کانال تلگرام ما کلیک کنید.
ارسال نظر