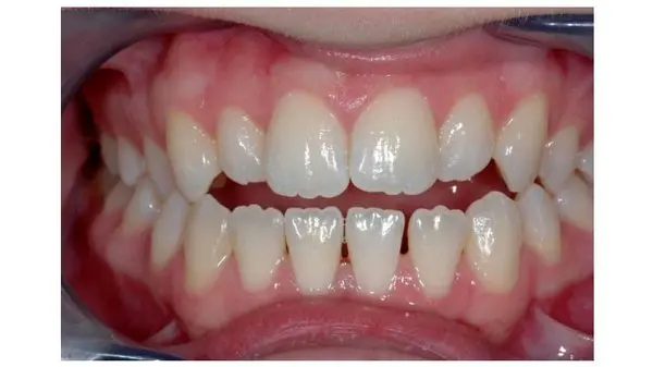
چرا دندان هایمان دندانه دار می شوند؟!
رکنا: در اول رشد آن بخش از جوانه دندانی دندانهای قبل که سبب رویش مینای دندان است، از سه کانون سوا از هم تشکیل شده که این سه کانون طی فرآیند رشد دندان به هم متصل می شوند و دندانههایی که بر روی لبه دندانهای جلویی وجود دارند در واقع به علت به هم پیوستن این بخشها ایجاد میشوند.
با افزایش سن و ساییدگی لبه دندانهای بالایی و پایینی روی یکدیگر، عمق این دندانهها که در قسمت مینای دندانها وجود دارند، کمتر شده و دندانها صافتر به نظر میرسند.
وجود این حالت روی دندانهای پیشین کاملا طبیعی بوده و هیچ ضرری برای فرد نخواهد داشت. هرچند که در حالاتی چون جلوتر بودن فک بالا و یا عقبتر بودن فک پایین شاهد ساییدگی و صاف شدن لبه دندانها نخواهیم بود.
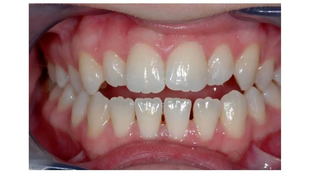
بعضی عادات در افراد ممکن است موجب ایجاد دندانه یا شیارهای عمیق روی دندانهای قدامی شود، که با گذشت زمان عمق بیشتری نیز پیدا میکنند. چنین حالتی را میتوان در افرادی که عادت به زیاد شکستن تخمه دارند، دید.
در صورت زیاد بودن عمق این لبهها هرچند مشکل خاصی برای افراد ایجاد نمیشود، اما دندانپزشکان میتوانند در صورت تقاضای فرد با کامپوزیتهای دندانپزشکی لبه دندانها را صاف نشان دهند، اما لازم به ذکر است که برخی افرادی که اقدام به ساخت دندانهایشان میکنند، علاقه مندند که دندانهایشان به شکل دندانه دار باشند تا جوانتر به نظر برسد.برای ورود به کانال تلگرام ما کلیک کنید.
ارسال نظر