نصف جمجمه این مرد به جای مغز هوا است! / او هیچ مشکلی ندارد + عکس عجیب
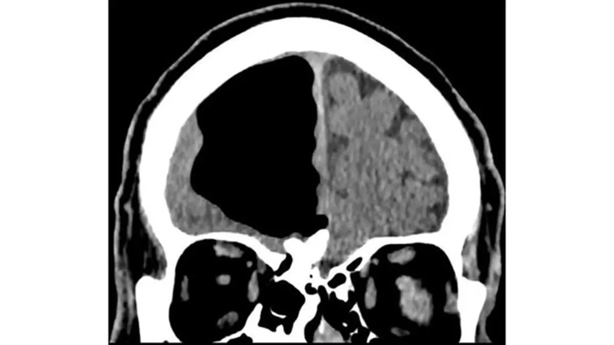
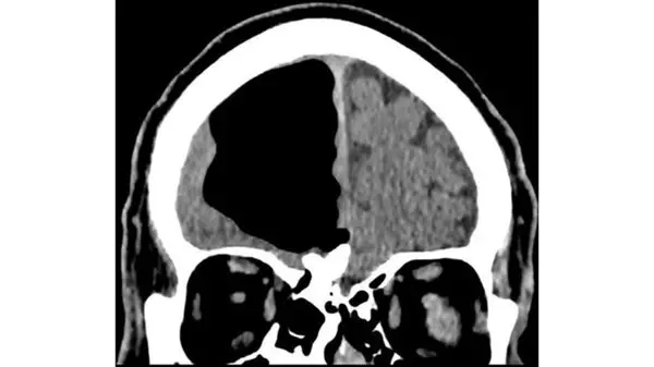
حوادث رکنا: پزشکان با اسکن مغزِ یک مرد ایرلندی به حفرهای به اندازه یک سیب در جمجمه او و فضایی که در واقع مغز او باید قرار داشته باشد، برخورد کردند.
    
    
    
    
  یک مرد ۸۴ ساله به علت زمین خوردنهای مکرر که در افراد مسن شایع است و احساس ضعف در سمت چپ بدنش به اورژانس مراجعه کرد.
به غیر از مشکل ضعف که تا سه روز ادامه داشت، کادر پزشکی از سلامت کامل این فرد بدون هیچ گونه پریشانی، ضعف ظاهری یا مشکلات بینایی و تکلمی خبر دادند.
اگر چه نتیجه آزمایش خون این فرد طبیعی بود ولی تصویربرداریها از مغز او وجود یک حفره عجیب ۹ سانتی متری از هوا را در جمجمه نشان میداد.
پس از بررسی تصاویر اسکن مغزی این مرد ایرلندی، پزشکان در مورد علت وجود این حفره تردید داشته و احتمال اختلالات مادرزادی یا عملهای جراحی پیشین این فرد را مطرح کردند که خود این فرد انجام هر گونه عمل جراحی یا وجود اختلالات مادرزادی را تکذیب کرد.
این حفره به عنوان یک پنوماتوسل، حفرهای پرفشار از هوا، در سمت راست لوب پیشانی این فرد قرار گرفته است. این دسته از حفرهها معمولا در بیمارانی که سابقه جراحی مغز یا ابتلا به انواع مختلف عفونت را داشتهاند معمول است ولی اندازه آنها بسیار کوچکتر است.
اسکن مغزی همچنین یک تومور خوش خیم استخوانی و یک سکته ناقص در مغز او را نشان داد. به منظور درمان این حفره، پزشکان پیشنهاد جراحی به او را دادند که با توجه به خطرات ناشی از جراحی، این مرد ایرلندی پیشنهاد را نپذیرفت ولی در عوض قرار شد انواع مختلفی از داروها را برای کمک به پیشگیری از سکتههای آینده دریافت کند.
به گزارش نیوزویک، این پرونده پزشکان دیگر را تشویق میکند تا بیماران خود را حتی اگر علائم شایع و رایج دارند بطور کامل بررسی کنند تا فرصت تشخیص صحیح بیماریهای احتمالی را از دست ندهند.برای ورود به کانال تلگرام ما کلیک کنید.
        
ارسال نظر