رکنا: یک کلاه مغزی و الگوریتمهای هوشمند ممکن است روزی به بیماران فلج کمک کنند تا با فکر کردن، حرکت کنند؛بدون نیاز به جراحی.
رکنا تکنولوژی: سامانه هوش مصنوعی «BrainProbe» که توسط محققان تایوانی توسعه یافته است با استفاده از فناوری یادگیری عمیق و داده های MRI قادر به تشخیص اسکیزوفرنی با دقت 91 درصد بوده و تحولی نوین را در…
رکنا: مرد ۵۲ ساله از میگرن رنج برده و ۴ ماهی بود که دیگر داروها جواب نمیدادند و به همین خاطر به متخصصین مراجعه کرد. پزشکان با اسکن مغزی متوجه شدند وی کرم نواری گوشت خوک دارد که دلیلش خوردن بیکن نیم…
رکنا: نتایج یک مطالعه جدید نشان میدهد که اسکن مغزی، یادگیری دانشآموزان را بهتر از امتحانات اندازهگیری میکند و در واقع، اسکن کردن مغز در سنجش توانایی یادگیری دانشآموزان بهتر از آزمونهای سنتی…
رکنا: محققان دریافتند که زنان خودآزار به طور متوسط سطوح بالاتری از درد را نسبت به گروه کنترل تحمل می کنند.
سلامت رکنا : بعضی از انواع بلوغ زودرس از زمان نوزادی قابل تشخیص است.
رکنا: رصد اوتیسم در سه ماهگی ممکن شد.
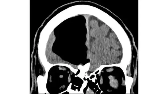
حوادث رکنا: پزشکان با اسکن مغزِ یک مرد ایرلندی به حفرهای به اندازه یک سیب در جمجمه او و فضایی که در واقع مغز او باید قرار داشته باشد، برخورد کردند.