زیبایی دندان ها با چند راهکار ساده
رکنا:تیرگی دندان ها علت مختلفی دارد و با راهکارهای خانگی می توان آنها را سفید و زیبا کرد.
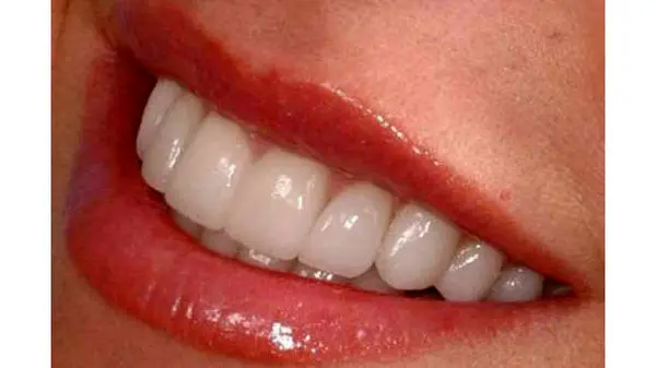
هیچ چیز بدتر از دندان های سیاه، تیره و لک دار نیست که روشن و سفید به نظر نیایند. دندان های لک دار نه تنها بد نما هستند، بلکه میتوانند اعتماد به نفس شما را هم تحت تاثیر قرار دهند. دلیل این تیرگی هرچه باشد غذا، قهوه، چای، و سیگار از شایعترین دلایل هستند. راهی را برای روشن کردن دندان های رنگ و رو رفته خود انتخاب کنید و در صورتی که از نتایج راضی بودید، با مراقبتهای خانگی، از دندان های خود مواظبت کنید.
اگر دلیل تیرگی دندان های شما پلاک ها هستند، سیب میتواند دندان را تمیز کرده و مواد لکه زا را از بین ببرد. سیب میتواند باکتری های به دام افتاده روی دندان یا بین آنها را از بین ببرد و در همان حال لکه های سطح دندان را بسابد. به گفته دندانپزشکان، بهترین راه برای رفع لکه ها از دندان، مسواک زدن فوری دندان است.
اگر دلیل تیرگی دندان تان، کشیدن سیگار است، از یک ژل سفید کننده برای برداشتن لکه های ناشی از نیکوتین استفاده کنید. لکه های زرد و قهوه ای تنباکو لایه خارجی دندان را تحت تاثیر قرار می دهند، اما در لایه زیرین عاج دندان نفوذ نمی کنند. بنابراین، بهترین کار اینست که از یک ژل ملایم پیروکسید استفاده کنید.
اگر علت تیرگی دندان، رنگ رفتگی های مرتبط با سن است، ابزارهای سفید کننده خانگی می توانند لبخند جوانی را به لب های شما بازگردانند.با بالا رفتن سن، مینای دندان شروع به فرسایش می کند و دندان ها نیمه شفاف شده و بافت زرد منفذ دار زیر مینا نمایان می شود. با استفاده از ابزارهای سفید کننده خانگی، که در داروخانه ها یافت می شوند، رنگ رفتگی ها جای خود را به لبخند زیبای جوانی می دهند. مداد سفید کننده سرشار از عناصری مانند کاربامید پروکسید است که در مدتی کمتر از یک هفته سفیدی چشمیگری را به دندان ها می بخشد.
برای ورود به کانال تلگرام ما کلیک کنید.
ارسال نظر