حوادث رکنا: سخنگوی آتشنشانی تهران از آتشسوزی شدید در یک ساختمان مسکونی در شادآباد و نجات ۳۰ نفر از ساکنان این ساختمان از مرگ خبر داد.
رکنا: نجف دریابندری مترجم شهیر ایرانی دیروز دار فانی را وداع گفت.
حوادث رکنا: فرمانده انتظامی شهرستان نیشابور از مرگ مرد 63 ساله ای که برای جمع آوردی گیاهان دارویی رفته بود بر اثر سقوط از کوه خبر داد.
حوادث رکنا: مرد میانسال که پس از قتل همسر دومش دچار عذاب وجدان شده و با بریدن رگ دستش قصد خودکشی داشت وقتی خود را در یک قدمی مرگ دید پشیمان شد و با اورژانس تماس گرفت.
حوادث رکنا: رئیس اورژانس گیلان از نجات جان جوان 30 ساله خمامی از مرگ توسط تیم فوریت های پزشکی خبر داد.
حوادث رکنا: فرمانده انتظامی شهرستان ایوان از مرگ دختر هفت ساله ایوانی بر اثر حمله گاو وحشی خبر داد و گفت: این حاثه تلخ دیروز رخ داده است.
حوادث رکنا: یکی از صاحبان شترهای تلف شده در شهرستان جاسک جزئیات جدیدی از تلف شدن ۴ نفر شتر در منطقه کوه مبارک این شهرستان را تشریح کرد.
حوادث رکنا: فرمانده انتظامی شهرستان "نجف آباد" از مرگ دلخراش 2 کارگر در دستگاه چرخ کننده مقوا خبر داد .
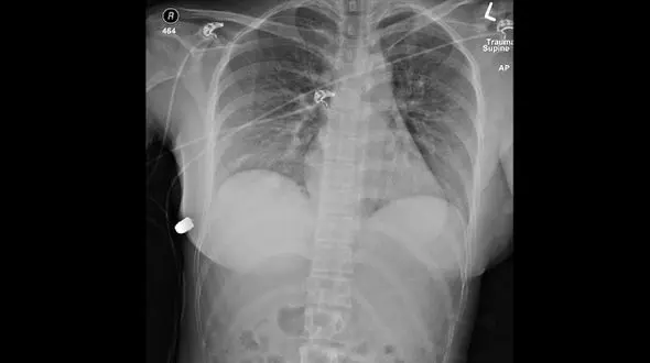
حوادث رکنا: یک زن در کانادا هدف گلوله قرار گرفت و برخورد شی با پروتز سینه جانش را از مرگ نجات داد.
حوادث رکنا: یک جوان اصفهانی که روی زمین افتاده و بیهوش بود توسط ماموران پیدا شد و به زندگی بازگشت.
حوادث رکنا: جانشین انتظامی استان البرز از مرگ سه عضو یک خانواده بر اثر مصرف الکل خبر داد.
حوادث رکنا: جوان نیشابوری که بعد از خوردن سم اقدام به خودسوزی کرده بود با کمک مردم از مرگ نجات یافت.