سی تی اسکن ریسک تومور مغزی را بالا می برد
رکنا: محققان دریافتند انجام سی تی اسکن رشد تومورهای مغزی را افزایش می دهد.
مطالعه جدید نشان می دهد سی تی اسکن که عمدتا در تصویربرداری های پزشکی استفاده می شود ریسک تومورهای مغزی را افزایش می دهد.
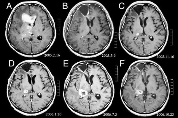
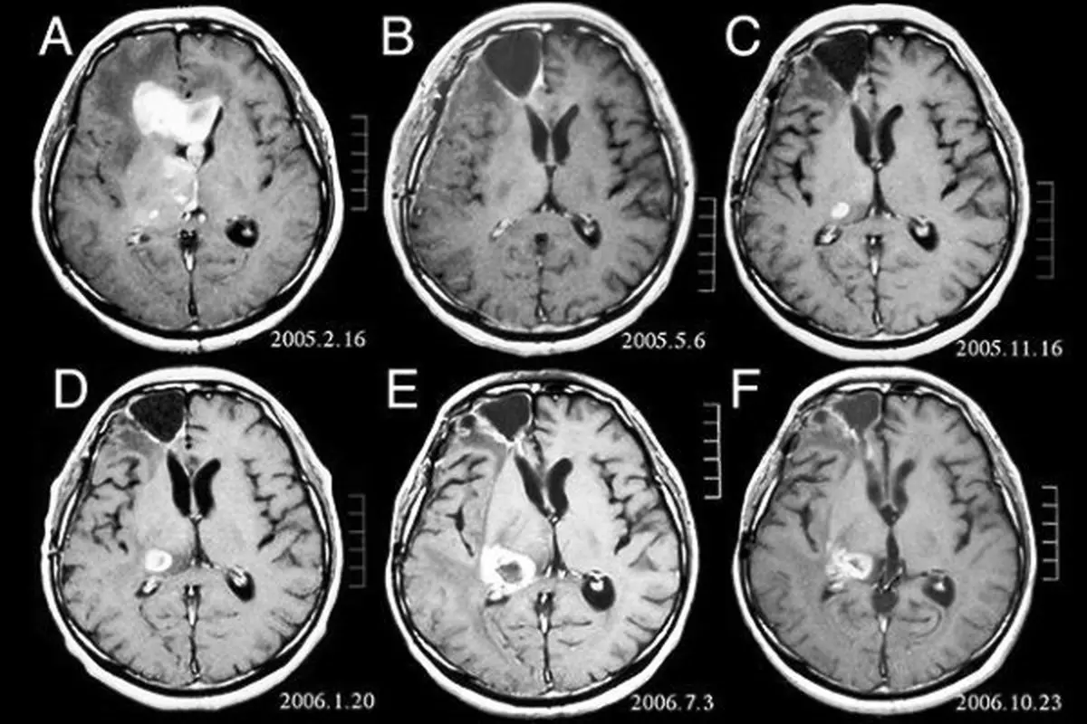
استفاده از سی تی اسکن در طول دو دهه اخیر به شدت افزایش یافته است. درحالیکه این شیوه بسیار موجب افزایش توانایی های تشخیصی شده است، اما در آن، از دوز بالاتر اشعه نسبت به شیوه های تشخیصی دیگر استفاده می شود. ازاینرو این میزان اشعه مورداستفاده، بخصوص در کودکان، نگران کننده است چراکه بدخیمی های مرتبط با این اشعه ها در کودکان بیش از بزرگسالان است.
لوسمی (سرطان خون) و تومورهای مغزی از شایع ترین بدخیمی های ناشی از رادیواکتیویته در بین کودکان و افراد جوان هستند. از اینرو محققان به ارزیابی ریسک تومور مغزی و لوسمی در کودکان بعد از قرارگیری در معرض اشعه ناشی از سی تی اسکن پرداختند.
محققان در این مطالعه، یک گروه از کودکان هلندی به تعداد ۱۶۸,۳۹۴ نفر را که بین سال های ۱۹۷۹ تا ۲۰۱۲ تحت سی تی اسکن قرار گرفته بودند مورد بررسی قرار دادند و به ارتباط آن با سرطان پی بردند.
نتایج نشان داد بروز سرطان ۱.۵ برابر بیش از حدانتظار است. خطر نسبی در مورد ابتلا به تمام انواع تومورهای مغزی برای بالاترین میزان دوز اشعه بکارگرفته شده بین ۲ تا ۴ برابر افزایش یافته بود.
ارسال نظر