مرگ زن 69 ساله یه علت خوردن مغزش توسط آمیب+ عکس
کدخبر:
443753
لینک کپی شد
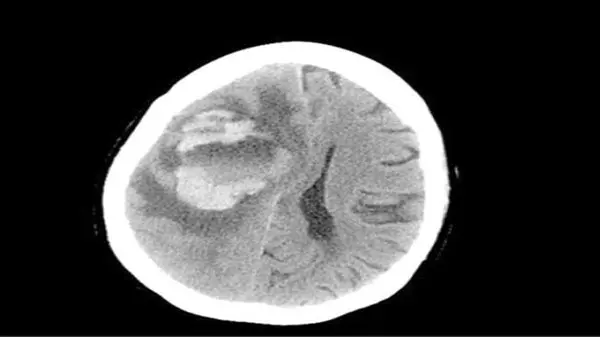
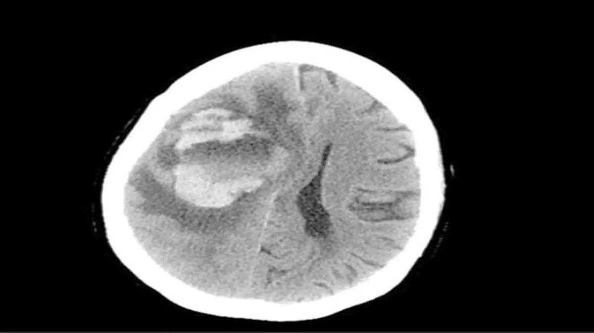
حوادث رکنا: زنی 69ساله چندی پس از شستوشوی سینوسهایش با آب لولهکشی به بیمارستان مراجعه کرده و در آنجا جان باخت.
کدخبر:
443753
لینک کپی شد
پزشکان بیمارستانی در آمریکا پس از کالبدشکافی متوجه شدند گونهای از یک آمیب (جاندار تکیاختهای) نادر از طریق آب وارد مغز او شده و بخشی از آنرا خورده است. پزشکان در مصاحبه با سایت دیلیمیل، استفاده از آب لولهکشی بهجای محلول شستوشوی سینوس را عامل این مرگ اعلام کردند.اخبار 24 ساعت گذشته رکنا را از دست ندهید
ارسال نظر