کشف 90 بسته مواد مخدر از معده و روده یک بیمار در کرج
حوادث رکنا: خارج کردن ۹۰ بسته مواد مخدر از معده و روده مردی میانسال در کرج با همکاری پزشکان دانشگاه علوم پزشکی البرز و مأموران، خبرساز شد.
به گزارش رکنا، دانشگاه علوم پزشکی البرز در روز سهشنبه، ۲۰ آبان، اطلاع داد که مردی میانسال با درد شدید شکمی و کتف، با همراهی مأموران به اورژانس بیمارستان شهید مدنی کرج انتقال داده شد.
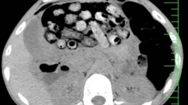
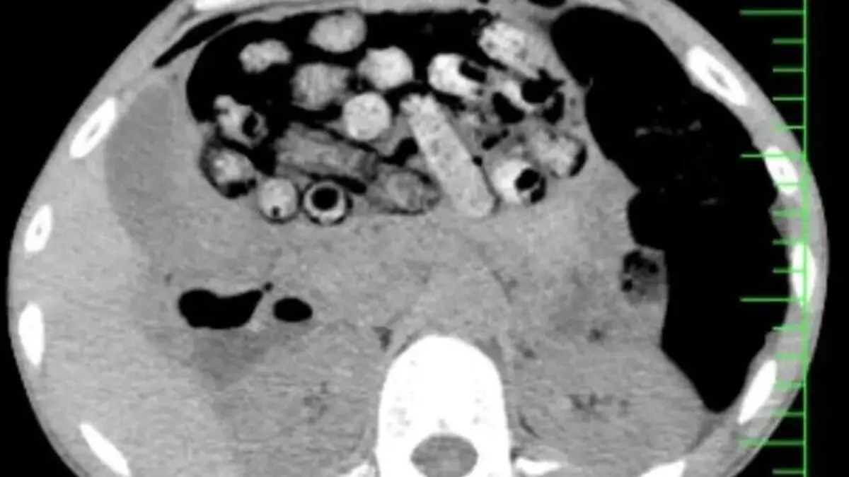
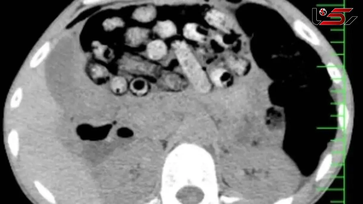
علت مراجعه بیمار مشخص شدبر اساس توضیحات مأمور همراه، این فرد پیش از ورود به بیمارستان، اقدام به بلع چندین بسته محتوی مواد مخدر کرده بود. در تصویربرداریهای انجامشده، تعداد قابلتوجهی بسته درون معده و رودههای کوچک و بزرگ او شناسایی شد.
اقدام فوری برای جلوگیری از بروز خطربه دلیل پتانسیل پارگی بستهها و خطرات جانی جدی، بیمار فوراً به اتاق عمل منتقل گردید. این عمل سخت و فوری از ساعت سه بامداد آغاز شد.
عمل جراحی موفقیتآمیزبه لطف تلاشهای دکتر سامان شیخی ، عضو هیأت علمی گروه جراحی عمومی دانشگاه علوم پزشکی البرز، و همکاری تیمهای اورژانس، تصویربرداری، بیهوشی و جراحی، ۹۰ بسته مواد مخدر از معده و روده بیمار خارج شدند.
![]()
ارسال نظر