رکنا: یک زن ساکن کرج در گفتوگو با رکنا از سرقت منزلش خبر داد؛او گفت این سرقت که شامل طلا، نقره، لوازم آرایشی، مواد غذایی و آجیل بوده، علاوه بر خسارت مالی، مشکلات روحی و تشدید بیماری اماس او را به…
رکنا: یک زن ساکن کرج در گفتوگو با رکنا از سرقت منزلش خبر داد؛او گفت این سرقت که شامل طلا، نقره، لوازم آرایشی، مواد غذایی و آجیل بوده، علاوه بر خسارت مالی، مشکلات روحی و تشدید بیماری اماس او را به…
حوادث رکنا: جانشین فرمانده انتظامی البرز از دستگیری یک جاعل حرفهای اسناد ملکی خبر داد که با جعل اسناد، اقدام به کلاهبرداری ۱۰۰ میلیارد ریالی کرده و زمینهای باارزش را با سند جعلی فروخته بود.
حوادث رکنا: رئیس پلیس فتا استان البرز خبر از دستگیری کلاهبردار حرفهای ارز دیجیتال با طراحی رمز ارز جعلی و فریب 100 نفر از طریق تلگرام و سرقت 6 میلیارد ریال داد.
حوادث رکنا: پسر جوانی که دو سال پیش در جریان یک درگیری خیابانی در بوستان مهر کیانمهر کرج، نوجوانی به نام پوریا را با ضربات مرگبار چاقو به قتل رسانده بود، با رأی قضات شعبه دوم دادگاه کیفری یک استان…
حوادث رکنا: فرمانده انتظامی شهرستان کرج از دستگیری یک نفر از ارازل اوباش منطقه خرمدشت که با ایجاد درگیری اقدام به برهم زدن نظم و امنیت شهروندان کرده بود، در کمتر ازیک ساعت پس از درگیری خبر داد.
حوادث رکنا: مرد کینه توز که با دسیسه برادر زن سابق اش معشوقه همسر سابقش را به قتل رسانده و جسدش را به آتش کشیده بودبا تلاش کارآگاهان جنایی استان البرز شناسایی و دستگیر شدند.
حوادش رکنا: به دستور مقام قضایی تصویر سارق طلافروشی برای شناسایی سایر شاکیان منتشر شد.
رکنا: تصادف شدید در پل فردیس کرج بین تریلر خودروبر و نیسان آبی، صحنهای تلخ و عجیب را رقم زد و منجر به نصف شدن نیسان شد. این حادثه به دلیل بیاحتیاطی رخ داد.
حوادث رکنا: رئیس پلیس آگاهی استان البرز از دستگیری 3 سارقی که اقدام به سرقت به شیوه زورگیری و قاپ زنی از بانوان در شهرستان کرج می کردند خبر داد.
حوادث رکنا: معاون سیاسی، امنیتی و انتظامی استانداری البرز اخبار منتشره در برخی شبکههای اجتماعی و رسانههای معاند درباره کشف جسد در سد کرج را شایعه پراکنی و کذب عنوان کرد.
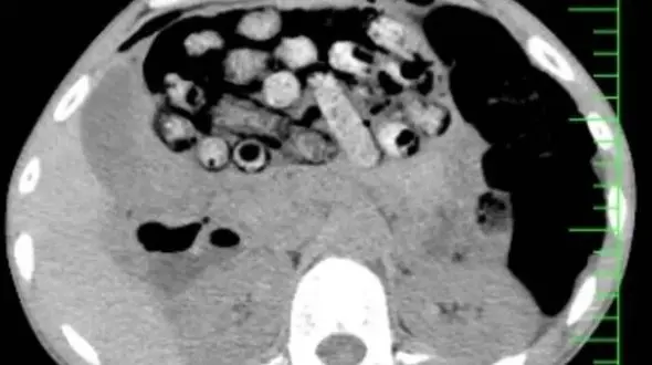
حوادث رکنا: خارج کردن ۹۰ بسته مواد مخدر از معده و روده مردی میانسال در کرج با همکاری پزشکان دانشگاه علوم پزشکی البرز و مأموران، خبرساز شد.