بیکن نیم پز، مرد 52 ساله را به انگل مغزی مبتلا کرد !
رکنا: مرد ۵۲ ساله از میگرن رنج برده و ۴ ماهی بود که دیگر داروها جواب نمیدادند و به همین خاطر به متخصصین مراجعه کرد. پزشکان با اسکن مغزی متوجه شدند وی کرم نواری گوشت خوک دارد که دلیلش خوردن بیکن نیم پز است.
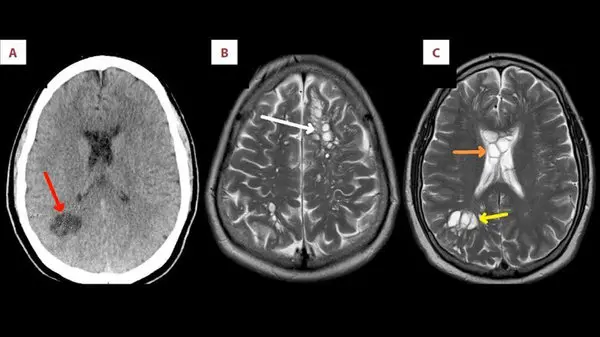
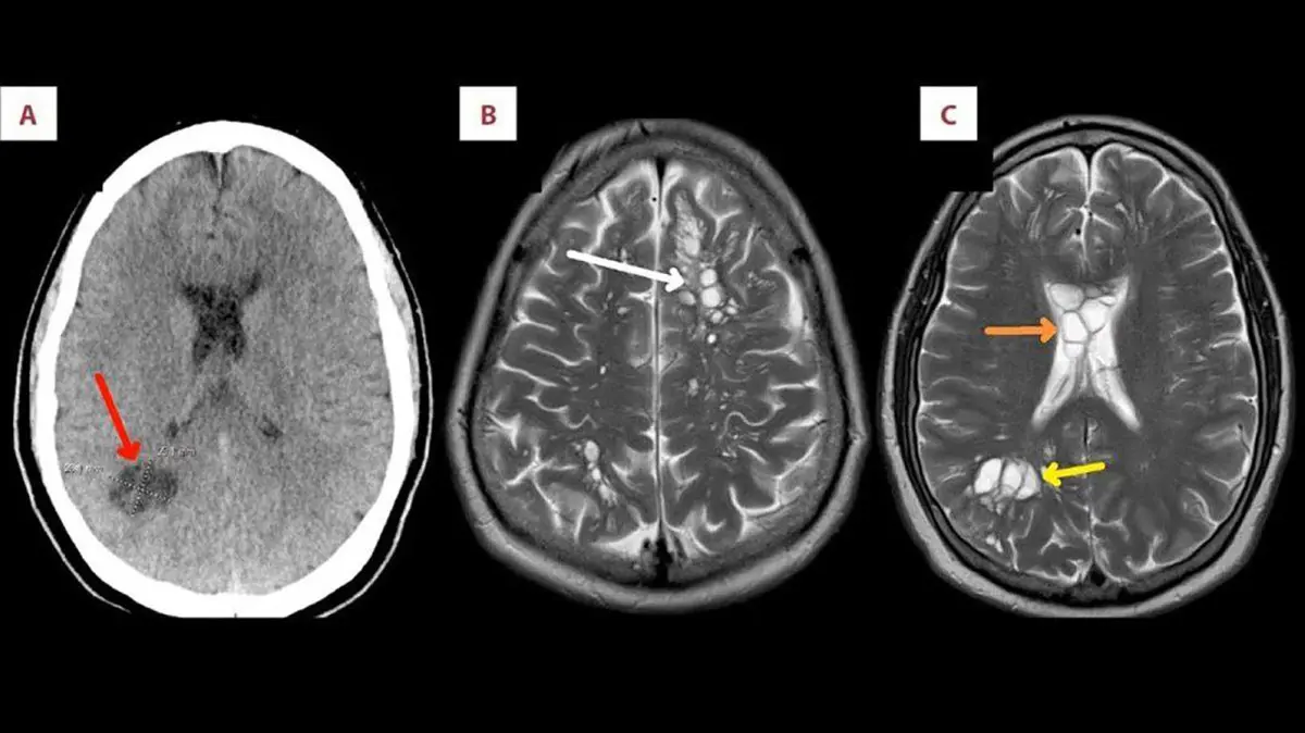
به گزارش رکنا، اسکن مغزی و ام آر آی ، کیستهای متعدد در هر دو نیمکره مغز بیمار و همچنین تورم مغزی را نشان دادند و متخصصان بیماریهای عفونی تأیید کردند که دلیلش کرم نواری گوشت خوک است که در مغزش تخم گذاشته و بافت زیر جمجمهاش را تحریک میکند.
این بیمار اهل اورلاندو به پزشکان اورلاندو گفت که داروهای معمولی دیگر میگرن را که تقریباً هر هفته اتفاق میافتد متوقف نمیکند.
او گفت که اخیراً به خارج از کشور سفر نکرده یا هیچ غذای خام نخورده است، اگرچه بیکن سبک پخته و غیر ترد را ترجیح میدهد.
سی تی اسکن و ام آر آی کیست های متعدد را در دو طرف مغز او نشان داد. تشخیص پزشکان عفونت انگلی نوروسیستیسرکوزیس بود که بر اساس آن، کیستهای لارو - کیسههای محصور حاوی مرحله نابالغ یک انگل - کرم نواری گوشت خوک قسمتهای مختلف بدن را آلوده کرده و باعث التهاب میشوند.
پزشکان بیمار معتقدند انگل از طریق غذای نیم پز وارد بدن او شده و سپس از طریق جریان خون از روده به مغز می رسد. موسسه ملی بهداشت (NIH) تخمین می زند که سالانه بین ۱۳۲۰ تا ۵۰۵۰ مورد نوروسیستیسرکوزیس در ایالات متحده وجود دارد.
این عفونتها در مناطق روستایی کشورهای در حال توسعه که خوکها آزادانه پرسه میزنند و مدفوع انسان را میخورند، و همچنین در جاهایی که اقدامات بهداشتی ضعیفی وجود دارد، شایعتر است.
علائم NCC به محل یافتن کیست در مغز بستگی دارد، اگرچه معمولاً شامل گیجی، عدم توجه به افراد و اطرافیان، مشکلات تعادلی و مایع اضافی در مغز به نام هیدروسفالی است. کارشناسانی که بیمار را درمان کردند همچنین خاطرنشان کردند که تشنج در حدود 80 درصد از بیماران مبتلا به NCC رخ می دهد.
این علائم می توانند ماه ها یا سال ها پس از عفونت شروع شوند، اغلب زمانی که کیستها شروع به مرگ میکنند. بیمار به بخش مراقبت های ویژه منتقل شد و چهار بار در روز به او کورتیکواستروئید دگزامتازون داده شد تا ورم مغز او کاهش یابد.
همچنین به مدت دو هفته به او آلبندازول و پرازیکوانتل داده شد که برای درمان عفونت کرم استفاده میشود. سپس کیستهای بیمار از بین رفت و میگرن او بهبود یافت.
ارسال نظر