حوادث رکنا: 6 محکوم متواری سابقه دار کمتر از 48 ساعت در شهرستان اسفراین دستگیر شدند.
حوادث رکنا: بیش از 100 کیلو تریاک از یک خاور با بار هندوانه، بعد از عوارضی تهران_قم در یک عملیات برنامه ریزی شده، کشف شد. فیلمبردار رکنا لحظه به لحظه در صحنه این تعقیب و گریز حضور داشت.
حوادث رکنا:فرمانده انتظامی نیریز از کشف 9 کیلو و 300 گرم مواد مخدر از نوع تریاک در این شهرستان خبر داد.
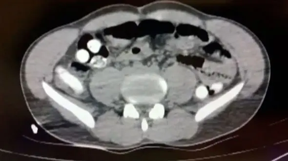
حوادث رکنا: فرمانده انتظامی بردسکن از کشف یک کیلو و 400 گرم تریاک از معده دو قاچاقچی در این شهرستان خبر داد.
حوادث رکنا: فرمانده انتظامی مشهد گفت: با تلاش ماموران کلانتری سجاد مشهد متهم به اخاذی از شهروندان در پوشش مامور به دام افتاد.
حوادث رکنا: دادستان عمومی و انقلاب شهرستان شوش از اجرای حکم اعدام قاچاقچی مواد مخدر در این شهرستان خبر داد.
مرد جوان میگوید نرسیدن به دختر مورد علاقهاش و ازدواج اجباری باعث شد زندگیاش ویران شود و به اعتیاد رو بیاورد.
حوادث رکنا: رئیس پلیس مبارزه با مواد مخدر فراجا مجازات خرید و فروش، حمل، نگهداری و مصرف مواد مخدر و روانگردانها در کشور عراق را تشریح کرد.
حوادث رکنا: یک زندانی که به جرم حمل مواد مخدر در حال تحمل کیفر در زندان زابل بود شامگاه هشتم تیرماه از ناحیه قفسه سینه ابراز تالم کرده که بلافاصله از طریق فوریتهای پزشکی برای درمان به بیمارستان سطح…
حوادث رکنا:فرمانده انتظامی گناباد گفت: یک زن میانسال که به صورت انباری اقدام به حمل و جابجایی مواد مخدر میکرد بر اثر بازشدن این مواد در معدهاش جان خود را از دست داد.
حوادث رکنا: پسر ۱۵ساله درباره دلایل گرفتاری در دام اعتیاد توضیح میدهد و میگوید اگر مشکلات خانوادگیشان حل شود، او نیز زندگی سالمی را در پیش خواهد گرفت.
تصویری از معده فردی که ۱۰۲ کپسول حاوی تریاک را قورت داده بود.