ترمیم باورنکردنی مغز پسر ۷ ساله +عکس
حوادث رکنا: مغز انسان یک عضو بسیار شگفتانگیز است و در گزارشی باورنکردنی آمده که مغز انسان توانایی بازسازی بخش از دست رفته خود را دارد.
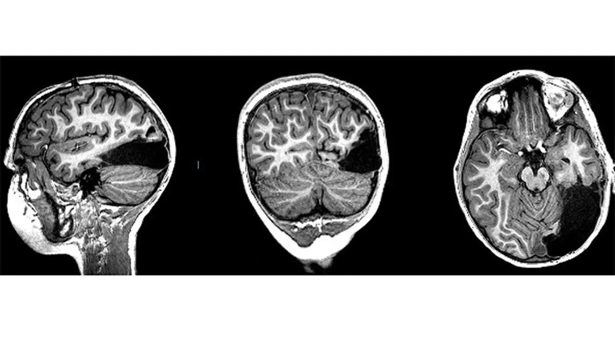
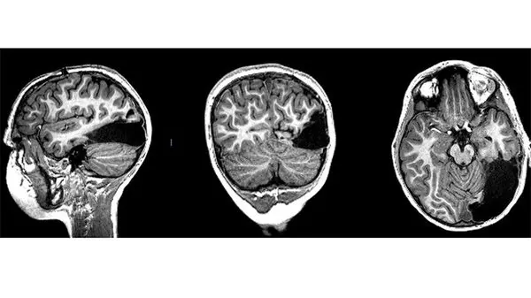
براساس گزارش «ساینس آلرت»، یک پسر ۷ ساله تحت عمل جراحی «لوببرداری (جراحی مغز)» قرار گرفت و یک ششم نیمکره راست مغزش را از دست داد.
پزشکان لوب پسسری او را که برای پردازش بینایی مهم است برداشتند.
آنچه که پزشکان پس از عمل جراحی وی دریافتند بسیار شگفتانگیز بود. اگرچه او با از دست دادن بخشی از مغزش قادر به دیدن سمت چپش نیست، اما به طور باورنکردنی نیمکره سمت چپ او وظایف دیداری نیمکره راست را جبران میکند.
اخبار اختصاصی سایت رکنا را از دست ندهید:
شعارهای عجیب و ساختارشکن معترضین در شیراز + فیلم و عکس
شلیک گلوله به تازه داماد پلیس / دختر عمو از محمودش گفت +عکس
فریبا را ماهی 200 هزار تومان صیغه کردم !
جوان شیطان صفت به مادرش هم تجاوز کرد
18 ساله بودم که برای رفتن به کویت صیغه نادر شدم
صیغه زن برهنه !
وقتی استاد دانشگاه با عکس لخت از سیمین راز خلوت او و سعید را فهمید
تله سیاه برای دختر شهرستانی + گفتگو
دستور عجیب قاضی برای بستن دهان مجرم پر حرف با چسب در دادگاه + تصاویر
مرد چشم ناپاک امانتدار خوبی نبود / بهرام وارد حریم خصوصی دختر زیبا شده بود
با دختر دانشجو در اتاق خواب در حال عشقبازی بودیم که نامزدم شبنم رسید و...
خودکشی این دختر 12 ساله دنیا را شوکه کرد + عکس
ماجرای افشاکردن عشرتکده اشراف توسط ر.اعتمادی خبرنگار حوادث + فیلم
ارسال نظر