تصویربرداری مغزی با نور مادون قرمز؛ گامی انقلابی در علوم اعصاب
تبلیغات

به گزارش رکنا، امروزه تصویربرداری مغزی به‌عنوان یکی از ابزارهای مهم و پیشرفته در علوم اعصاب شناختی و روان‌شناسی شناخته می‌شود. این حوزه با بهره‌گیری از تکنولوژی‌های نوین، ابزارهای متنوعی برای بررسی عملکرد مغز انسان در اختیار ما قرار داده است. یکی از تازه‌ترین فناوری‌ها در این عرصه، طیف‌نگاری کارکردی مادون قرمز نزدیک (fNIRS) محسوب می‌شود؛ روشی که به دلیل غیرتهاجمی بودن و سهولت در استفاده، به سرعت مورد توجه پژوهشگران قرار گرفته است.

با کمک این فناوری، تغییرات در میزان اکسیژن‌رسانی خون به نواحی مختلف قشر مغز اندازه‌گیری می‌شود و اطلاعات مهمی در خصوص فعالیت‌های شناختی و رفتاری انسان به دست می‌آید. این روش در مقایسه با فناوری‌هایی مانند EEG و fMRI، امکان انجام مطالعات در شرایط طبیعی‌تر را فراهم کرده و به همین دلیل جذابیت زیادی دارد.

در این مقاله، کاربردها، محدودیت‌ها و مزایای fNIRS مورد بررسی قرار گرفته و نیز فعالیت‌ها و اهداف آزمایشگاه ملی نقشه‌برداری مغز ایران در استفاده از این ابزار پیشرفته معرفی خواهد شد.
انقلابی در علوم اعصاب؛ تصویربرداری مغزی با فناوری نور مادون قرمز!

عملکرد طیف‌نگاری کارکردی مادون قرمز نزدیک

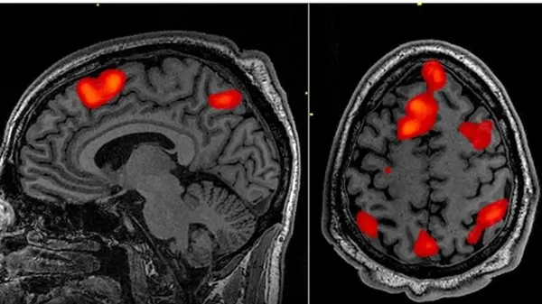
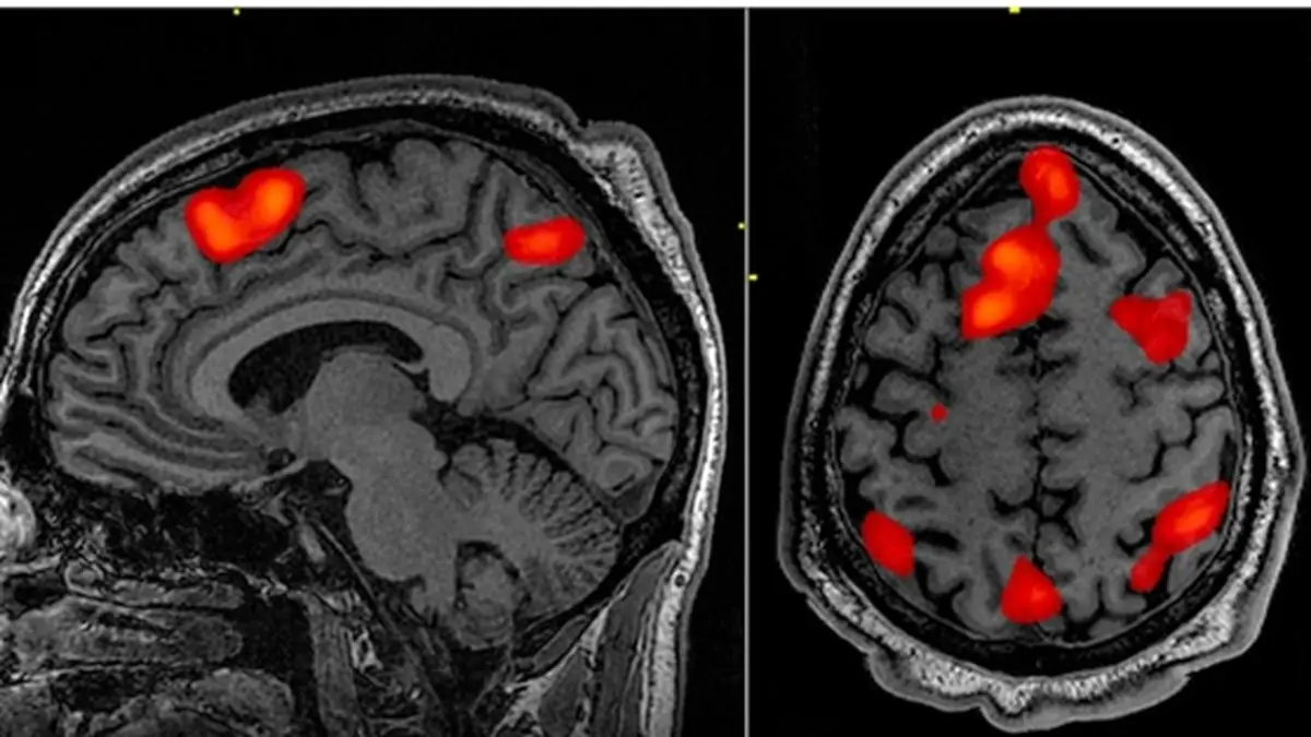
این فناوری بر اساس اصول جذب و بازتاب نور مادون قرمز نزدیک کار می‌کند. دستگاه fNIRS با ارسال نور مادون قرمز به سطح پوست سر و سنجش میزان نور بازتاب شده، تغییرات در نسبت هموگلوبین اکسیژنه و هموگلوبین غیر اکسیژنه را ثبت می‌کند. اطلاعات حاصل از این فرآیند، به‌عنوان شاخص‌های کلیدی برای اندازه‌گیری فعالیت مغزی در زمان واقعی مورد استفاده قرار می‌گیرند.
انقلابی در علوم اعصاب؛ تصویربرداری مغزی با فناوری نور مادون قرمز!

مطالعه مغز با فناوری fNIRS

این فناوری امکان بررسی پویای فعالیت‌های مغزی را در زمان واقعی فراهم کرده و نقش مهمی در تحقیقات شناختی ایفا می‌کند. سوسن کهزاد، کارشناس ارشد علوم پزشکی و مسئول بخش ثبت و پردازش سیگنال این آزمایشگاه، در خصوص مزایای کاربردی fNIRS می‌گوید: "این روش مناسب افرادی است که نیاز به تصویربرداری مغزی بدون تجهیزات حجیم دارند."

مزایا و محدودیت‌های fNIRS

مزایا:

  • غیرتهاجمی و ایمن
  • قابل حمل و سبک
  • امکان ثبت داده‌ها در زمان واقعی
  • مناسب برای گروه‌های خاص مانند نوزادان و سالمندان
  • قابلیت ترکیب با سایر فناوری‌ها

محدودیت‌ها:

  • عدم توانایی در بررسی لایحه‌های عمقی مغز
  • وضوح زمانی پایین‌تر نسبت به EEG
  • قدرت تفکیک مکانی پایین‌تر نسبت به fMRI

انقلابی در علوم اعصاب؛ تصویربرداری مغزی با فناوری نور مادون قرمز!

کاربردهای fNIRS در علوم اعصاب شناختی و روان‌شناسی

  • مطالعه تغییرات فعالیت مغزی در وظایف شناختی
  • تحقیقات روان‌شناسی و بررسی تعاملات اجتماعی
  • تحلیل تأثیر استرس بر عملکرد شناختی
  • بررسی تأثیر ورزش بر فعالیت‌های مغزی

مطالعات جامعه‌محور با روش هایپراسکنینگ

فناوری fNIRS امکان ثبت فعالیت مغزی به‌صورت هم‌زمان در میان چند فرد را فراهم کرده و در پژوهش‌های مربوط به تعاملات اجتماعی کاربرد دارد. این روش که به هایپراسکنینگ معروف است، نحوه تعامل و هماهنگی مغز افراد در شرایط مختلف را روشن می‌سازد.
انقلابی در علوم اعصاب؛ تصویربرداری مغزی با فناوری نور مادون قرمز!

جایگاه fNIRS در ایران

فناوری fNIRS در ایران به دلیل مزایای فراوان، مورد استقبال پژوهشگران قرار گرفته است و در مطالعات مربوط به بیماری‌هایی مثل افسردگی و اوتیسم به کار می‌رود. مسئولان در آزمایشگاه ملی نقشه‌برداری مغز ایران تلاش می‌کنند تا با استفاده از این فناوری، تحقیقات علمی و کاربردی را گسترش دهند.

زهرا وجدانی

اخبار تاپ حوادث

تبلیغات
تبلیغات
تبلیغات

وبگردی