نقش مهم دندانپزشکان در تشخیص ایدز
تبلیغات

بر این اساس، اولین علائم بیماری ایدز نیز در بسیاری از موارد در دهان پدیدار می‌شود. به این ترتیب، دندانپزشکان نقش مهمی را در تشخیص زودهنگام این بیماری ایفا می‌کنند.

عامل دیگر ترس از بیماری ایدز به دلیل نهفته بودن آن در دوران پنجره‌ای به مدت حدود ده سال است؛ دوره‌ای که طی آن، فرد به ویروس اچ‌آی‌وی آلوده شده، اما خودش از آن خبر ندارد و می‌تواند بیماری‌اش را از طریق روابط جنسی کنترل نشده، وسایل آلوده به خون مشترک مثل سرنگ تزریق در معتادان، تیغ‌های جراحی یا هر وسیله آلوده به خونش به افراد سالم منتقل کند.
 
با وجود این، توجه به علائم هشداردهنده بیماری ایدز در دوران پنجره‌ای، کمک می‌کند تا بیماری به طور احتمالی شناسایی و با آزمایش‌های تشخیصی تائید شود و درمان‌های کنترلی زودتر برای بیمار آغاز شود.

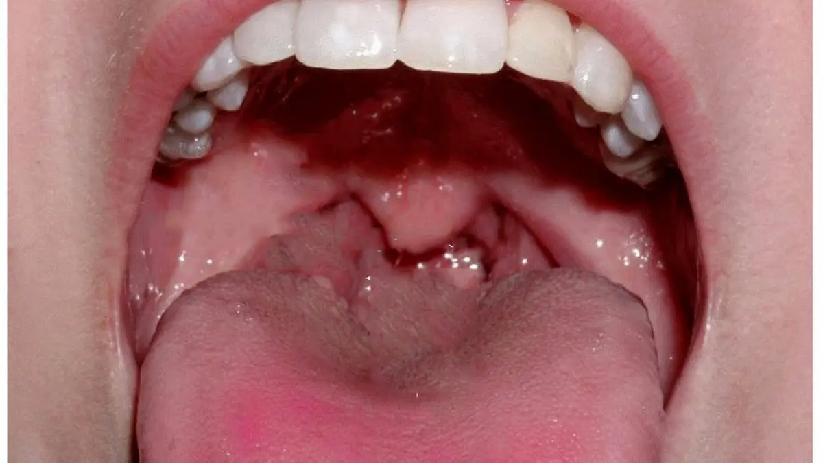
یکی از نشانه‌های هشداردهنده ایدز، عوارض دهانی ناشی از این بیماری است که به گفته متخصصان بیماری‌های دهان و فک معمولا به صورت ضایعات تاولی لثه، زخم‌های دهانی و آفت‌های عودکننده و مقاوم به درمان بروز می‌کند.

معمولا اغلب بیماری‌هایی که در دیگر قسمت‌های بدن، بخصوص خون ایجاد می‌شود، به تغییراتی در دهان از جمله زبان و کام منجر می‌شود. بر این اساس، اولین علائم بیماری ایدز نیز در بسیاری از موارد در دهان پدیدار می‌شود. به این ترتیب، دندانپزشکان نقش مهمی را در تشخیص زودهنگام این بیماری ایفا می‌کنند.

معمولا در افرادی که مبتلا به بیماری‌های سیستم ایمنی یا ضعف سیستم ایمنی از طریق آلودگی با ویروس ایدز، ابتلا به دیابت و مصرف سیگار هستند، عوارض و ضایعات لثه و دهان بیشتر بروز می‌کند.

به گفته متخصصان بیماری‌های دهان، یکی از نشانه‌هایی که از نظر ابتلای به بیماری ایدز باید جدی گرفته شود، بروز آفت‌های دهانی است که هر ماه، شش یا هفت بار تکرار شود و با هیچ روشی نیز قابل کنترل نباشد. توجه داشته باشید که ضایعات دهانی شامل ضایعات ویروسی، لثه و ضایعات ناشی از نقص در سیستم ایمنی می‌شود. یعنی در صورت مشاهده هر نوع ضایعه عودکننده در داخل دهان اعم از آفت، تبخال یا خونریزی‌های مکرر لثه باید به دندانپزشک مراجعه و علت را بررسی کرد.

انتقال ایدز از طریق دندانپزشکی

از زمان ورود ویروس به بدن فرد سالم، تا ظهور علائم بیماری دوره‌های زمانی مختلفی وجود دارد که ممکن است تا ده سال هم طول بکشد. در دوره اول که سه تا شش هفته پس از ورود ویروس است، هیچ راه تشخیصی برای این‌که فرد مبتلا به ویروس است، وجود ندارد.

پس ازگذشت یک‌ماه از آلودگی، تست‌های آزمایشگاهی قادر به تشخیص وجود ویروس در بدن خواهد بود. از این زمان تا مرحله بروز نشانه‌های بالینی بیماری بتدریج قدرت دفاعی بدن کاهش می‌یابد که همراه با تب، ضعف، سستی و اسهال است. بیماری ایدز در واقع مرحله آخر ابتلا به ویروس نقص ایمنی یا اچ‌آی‌وی است. در این مرحله تعداد گلبول‌های سفید خون که وظیفه دفاع در برابر میکروب‌ها را دارند، بشدت کاهش یافته و منجر به ابتلا به انواع عفونت‌ها می‌شود. در واقع، علت مرگ ناشی از آلودگی با اچ‌آی‌وی نیز معمولا عفونت‌های ریوی است.

از جنبه انتقال بیماری ایدز از دندانپزشکی به بیمار نیز تاکنون گزارشی دیده نشده؛ زیرا مهم‌ترین راه انتقال، خون است و این‌که خون آلوده به ویروس، هنگام اعمال دندانپزشکی به بیمار انتقال پیدا کند، بسیار غیرمحتمل است. بزاق نیز نمی‌تواند عامل انتقال ویروس و بیماری‌زایی آن شود. بر اساس تحقیقات به عمل آمده خطر انتقال از بیمار به دندانپزشک نیز حدود ۰/۳ درصد است.

ویروس اچ‌آی‌وی با این که بسیار خطرناک است، اما رعایت اصول کنترل عفونت و استفاده از وسایل استریل شده یا یکبار مصرف در مطب‌ها و کلینیک‌های دندانپزشکی به طور قطعی، مانع انتقال ویروس از طریق وسایل دندانپزشکی می‌شود.

اچ‌آی‌وی و بروز عفونت‌های قارچی در دهان

ایجاد عفونت‌های قارچی مثل برفک روی زبان یا حلق، تغییرات خاص در سطح یا زیر زبان، تبخال‌های مکرر، التهاب و چرکی شدن تمامی لثه، خشکی دهان و تورم غدد بزاقی از علائم دهانی ابتلا به بیماری ایدز محسوب می‌شود.

توجه داشته باشید که حضور هر یک از این علائم به تنهایی، دلیل ابتلا به بیماری نیست. بلکه این نشانه‌ها در دیگر بیماری‌ها نیز دیده می‌شود و مجموع این علائم و تست‌های آزمایشگاهی است که ابتلای قطعی را مشخص می‌کند. بنابر این مراجعه منظم به پزشک یا دندانپزشک یکی از راه‌های اصلی برای تشخیص آلودگی به اچ‌آی‌وی است.

ضایعات دهانی به دنبال ابتلا به ایدز ممکن است با ترشحاتی نیز همراه باشد. ویروس در بزاق نیز وجود دارد، اما بزاق نمی‌تواند باعث انتقال بیماری باشد مگر این‌که آلوده به خون شود. خوشبختانه ضایعات دهانی معمولا قابل درمان است و فقط در مواردی که این ضایعات به درمان مقاومت نشان دهد یا دوباره ایجاد شود باید به ابتلا به بیماری ایدز شک کرد.

سلامتیبرای ورود به کانال تلگرام ما کلیک کنید.

 

اخبار تاپ حوادث

تبلیغات
تبلیغات
تبلیغات

وبگردی