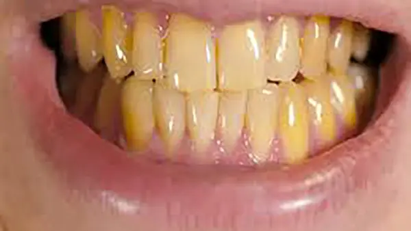
۵ اشتباهی که باعث زردی دندان ها می شود
رکنا: هیچ چیز بهتر از یک فنجان قهوه داغ در صبح؛ نمی تواند انرژی شما را افزایش دهد و از آن لذت ببرید؛ اما از طرفی هم دندانهایتان را به مرور کدر خواهد کرد و رنگ آن را تغییر میدهد. در این مطلب ۵ اشتباه رایجی آورده شده که باعث زردی دندان ها میشود.
به گزارش رکنا ترک نوشیدنیهای گاز دار و شیرین لطفی است که در حق دندان هایتان میکنید؛ اما اگر بخواهید آنها را با آب گازدار جایگزین کنید؛ باز هم تاثیر منفیاش را خواهد گذاشت. کربنات اسید که در آبهای گاز دار هست شاید به طور جدی به دندانهایتان آسیب نرساند اما اگر این نوشیدنی طعم دار باشد؛ به خاطر اسیدیته بالای مواد افزودنی موجود در آن میتواند باعث پوسیدگی مینای دندان شود.
استفاده از سس سویا روی غذا
اگر چه سس سویا بسیار خوشمزه است و طعم غذا را بهتر میکند؛ اما دندانها را به مرور زمان زرد خواهد کرد. سس سویا هم درست مثل هر ماده غذایی رنگی دیگری میتواند دندانهای شما را لکه دار کند و اثر خمیر دندان سفید کننده را نیز کاهش خواهد داد.
استفاده از نوشیدنیهای داغ
قطعا هیچ چیز بهتر از یک فنجان قهوه داغ در صبح؛ نمی تواند انرژی شما را افزایش دهد و از آن لذت ببرید؛ اما از طرفی هم دندانهایتان را به مرور کدر خواهد کرد و رنگ آن را تغییر میدهد. چای، قهوه و سایر نوشیدنی هایی که دارای رنگدانههای زیادی هستند؛ به مرور دندانهای تان را لکه دار میکند که اگر آنها را گرم بنوشید؛ مینای دندانتان را نیز بیشتر مستعد لکه دار شدن خواهند کرد؛ حتی ممکن است منجر به ایجاد ترکهای ریز در دندان شود و آنها را حساستر کند.
استفاده از دهانشویههای اشتباه و نامناسب
اگر چه استفاده از دهانشویه باعث تازه و خوشبو شدن تنفس شما برای طولانی مدت خواهد شد؛ اما استفاده از دهانشویههای حاوی مواد شیمیایی خشن ممکن است روی کم شدن درخشندگی و سفیدی دندانها و لبخندتان تاثیرگذار باشد. برای مثال دهانشویه هایی که برای درمان بیماریهای لثه استفاده میشوند؛ اغلب حاوی کلرهگزیدین گلوکونات هستند که میتواند باعث ایجاد لکه هایی بر روی دندانها شود که هرگز بدون توصیه و تجویز دندانپزشک نباید از آن استفاده کنید.
سفت و محکم مسواک زدن
با اینکه مسواک زدن و کشیدنِ نخ دندان برای حفظ سلامت دندانها و داشتن لبخندی زیبا بسیار مهم است؛ اما اگر خیلی سفت و سخت مسواک بزنید ممکن است به مرور زمان؛ مینای دندان شما دچار فرسایش شود که احتمالاً دندانها را حساس تر کرده و خطر پوسیدگی را تا حد زیادی افزایش خواهد داد.
ننوشیدن آب به اندازه کافی
هیدراته ماندن؛ یکی از بهترین کارهایی است که میتوانید برای سلامت کلی بدن خود انجام دهید. نوشیدنِ آب کافی در طول روز میتواند به سلامت دندانها و سفیدی لبخند شما کمک کند. آب مواد لکهدار باقی مانده روی دندانها را میشوید و آن را برای مدت طولانیتری سفید نگه خواهد داشت.
ارسال نظر