حوادث رکنا : اعضای باند سرقت مسلحانه که به روشی خشن از زنان سرقت میکردند که متهم به قتل شدند.
سلامت رکنا : ایمپلنت دندان نوعی پایه از جنس تیتانیوم است که داخل استخوان فک زیر لثه جا می گیرد.
رکنا : لک رژ لب از سخت ترین لک هاست که اگر در جایی قرار گیر به سختی پاک می شود.
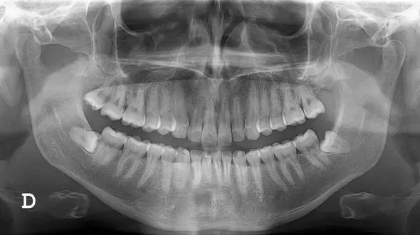
رکنا : عکس OPG برای بررسی وضعیت دندان ها از سوی دندانپزشک
سلامت رکنا : حتما برای شما هم پیش آمده که گاهی گوشهی لبهای تان ترک خورده باشد.
رکنا: در این ویدیو آموزشی به شما نشان می دهیم که می توانید در خانه با کمترین هزینه دندان های خود را به سفیدی و زیبایی صدف تبدیل کنید.
سلامت رکنا : دندان های عقل بالاترین شیوع نهفتگی را دارند و علت آن تغییر رژیم غذایی انسانها در طول سال هاست.
رکنا: چرا نباید آزمونهایی را که ادعای شخصیتشناسی با ویژگیهای ظاهری و علایق دارند،جدی بگیریم؟
سلامت رکنا : بسیاری وقت ها بعد از کشیدن نخ دندان روی دندان هایمان می بینیم که دهان مان پر از خون شده است.
سلامت رکنا : مهمترین بیماری شایع لبها ترکخوردگی است.
سلامت رکنا : جوش شیرین در بهبود هضم غذا و حتی رفع خستگی موثر است.
رکنا : اکلر فرانسوی در بیشتر نقاط جهان طرفدار دارد.