هوش مصنوعی به شناسایی سرطان پروستات پرداخت
رکنا: ارزیابی هوش مصنوعی شگفت انگیز است و نشان میدهد سرطان پروستات 2 نوع کاملا متفاوت دارد.
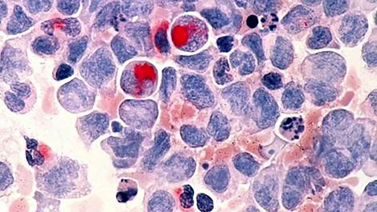
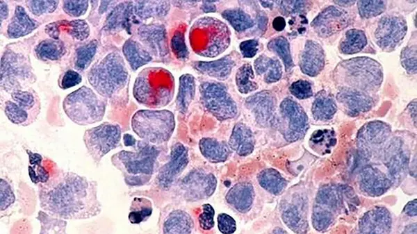
به گزارش رکنا، اکثر تومورها از انواع نسبتا خوشخیم و "متعارف" هستند. تشخیص سرطان پروستات آسان است. شاید خیلی راحت با آزمایش خون مشخص شود دارای سطوح بالایی از پروتئینی به نام "آنتیژن اختصاصیِ پروستات موسوم به پیاسای" هستید و در این صورت راهی را خواهید پیمود که احتمالاً به جراحی ختم میشود؛ اما میزان پیاسای میتواند اطلاعات ناقصی ارائه کند. این میزان در مردان سالم میتواند بالا باشد و در بسیاری از موارد سرطان بیضرر باقی بماند. درمان تهاجمی نیز میتواند مردان را بی اختیار و ناتوان کند.
هوش مصنوعی دقت و وضوح به ارمغان آورده است. همان طور که اخیرا در مجله "سل جنومیک" گزارش شده، شبکه عصبی جامعی با دادههای ژنومی تومورهای پروستات 159 مرد طراحی شده است. ارزیابی هوش مصنوعی شگفتانگیز است و نشان میدهد سرطان پروستات دو نوع کاملا متفاوت دارد. اکثر تومورها از انواع نسبتا خوشخیم و "متعارف" هستند که به لحاظ ژنتیکی از سرطان "جایگزین" و تهاجمیتر متمایزند.
مردان مبتلا به سویه دوم، پیشآگهی خوبی ندارند. با تشخیص اینکه کدام بیماران به کدام نوع سرطان مبتلا هستند، هوش مصنوعی میتواند به شناسایی افرادی که واقعا به درمان نیاز دارند، کمک کند.
منبع: عصر ایران / مترجم: لیلا احمدی
ارسال نظر