صحنه وحشتناکی که پزشکان داخل گلوی پیرمرد دیدند + عکس
رکنا: گیر افتادن دندان مصنوعی در گلو پیر مرد او را راهی بیمارستان کرد.
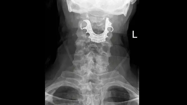
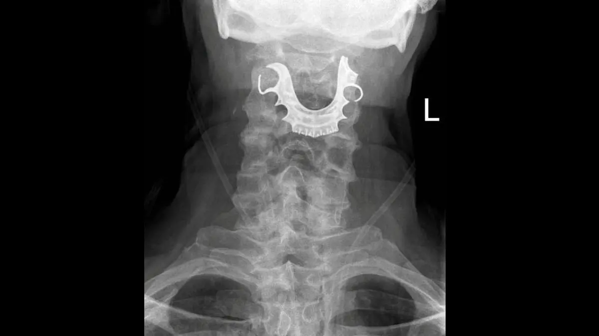
به گزارش گروه ترجمه رکنا، پزشکان بیمارستان بریتانیا با مراجعه مردی 72 ساله به بیمارستان با شکایت از گلو درد و تنگی نفس با معاینات پزشکی با صحنه ای عجیب در گلوی پیرمرد مواجه شدند.
به گفته پزشک معالج، این بیمار از قرار معلوم چند وقت اخیر به دلیل وجود توده مضر در شکم، مورد جراحی قرار گرفت که برای آماده شدن با استفاده از دستگاه متصل به ماسک صورت بی هوش شد و بی توجهی پزشکان در این زمینه موجب شد تا جان بیمار به خطر بیافتد.
از قرار معلوم هنگام جراحی دندان مصنوعی بیمار داخل دهانش بود که بی توجهی پزشکان و پرستاران موجب شد تا دندان داخل گلویش گیر کند و راه تنفسی او را ببندد.
بیمار 72 ساله مدعی بود که پس از به هوش آمدن در بیمارستان پزشکان به او گفتند که دندانش گم شده و او تا زمان مرخص شدن بدون دندان مانده بود تا این که چندی پیش متوجه گلو درد و خونریزی شدید و بسته شدن راه تنفسی اش شد که با مراجعه به بیمارستان راز بی احتیاطی پزشکان فاش شد.
برای ورود به کانال تلگرام ما کلیک کنید.
ارسال نظر