اولین اطلس توسعه مغز نشان می‌دهد چگونه سلول‌های بنیادی به نورون تبدیل می‌شوند
تبلیغات
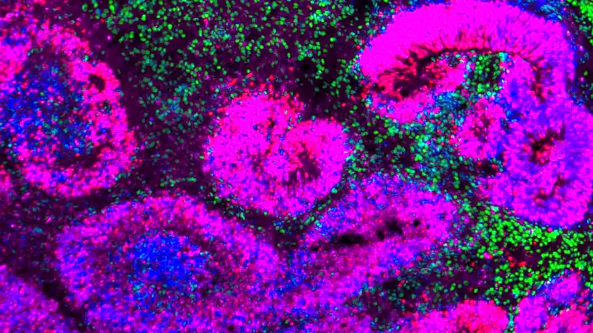
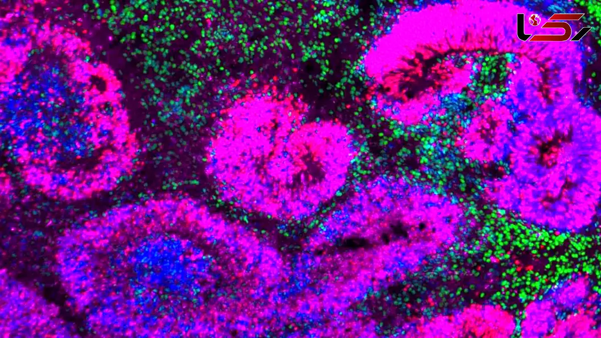
بافت مغز در حال توسعه انسان که شامل ساختارهای رُزت (صورتی و آبی) است و اطراف آن با نورون‌ها (سبز) احاطه شده‌اند.
نانو و همکاران / Nature Neurosci.; خوزه سوتو / آزمایشگاه بهادوری / UCLA

به گزارش گروه ترجمه رکنا به نقل از نی چر دات کام، توانایی ما در پردازش اطلاعات به احساسات، رفتارها و تصمیمات پیچیده، وابسته به تنوع غنی انواع سلول‌هایی است که مغز انسان را شکل می‌دهند. کشف رویدادهای مولکولی و سلولی که در طول رشد مغز رخ می‌دهند، نه تنها می‌تواند مکانیزم‌های شکل‌گیری این تنوع را روشن کند، بلکه می‌تواند درک ما از چگونگی اختلال این فرآیند در اختلالات نوروتوسعه‌ای مانند اوتیسم و اسکیزوفرنی را نیز افزایش دهد.

شبکه اطلس سلولی طرح ابتکار مغز (BRAIN Initiative Cell Atlas Network – BICAN) با توسعه کارهای پیشین خود در ایجاد اطلس انواع سلول‌ها در مغز موش بالغ، نخستی‌سانان غیرانسانی و انسان، اکنون اطلس‌های انواع سلول‌های مغز در حال توسعه انسان، موش و نخستی‌سانان غیرانسانی را ارائه می‌دهد.

در مجموعه‌ای از مقالات، از جمله نه مقاله منتشرشده در نشریه Nature، پژوهشگران برنامه‌های پیچیده‌ای را که از طریق آن انواع سلول‌ها در طول توسعه مغز انسان و حیوان شکل می‌گیرند، شناسایی کرده‌اند و ویژگی‌های مشترک و منحصربه‌فرد مغز انسان را آشکار ساخته‌اند. آخرین یافته‌ها، همراه با جهت‌گیری‌های پژوهشی آینده، در مقاله‌ای تحلیلی توسط توماز نوواکوفسکی و همکارانش جمع‌بندی شده است.

مجموعه‌ای از مطالعات جدید، مسیر رشد و تمایز سلول‌های مغزی پستانداران را ترسیم کرده و ابزاری بسیار ارزشمند برای پژوهشگران علوم عصبی فراهم کرده است.

دانشمندان تاکنون دقیق‌ترین نقشه‌ها را از چگونگی تبدیل سلول‌های بنیادی به نورون‌ها و سلول‌های پشتیبان در طول جنینی و اوایل زندگی انسان و موش ارائه کرده‌اند. در مجموعه‌ای از پنج مقاله منتشر شده دیروز در نشریه Nature، پژوهشگران صدها هزار سلول مغزی اولیه را ردیابی کرده و با دقت بی‌سابقه‌ای روند مولکولی شکل‌گیری سلول‌های مختلف مغز را ثبت کردند.

هانگ‌کوئی زنگ، معاون اجرایی و مدیر مؤسسه علوم مغز آلن در سیاتل و نویسنده همکار دو مقاله، می‌گوید: «این واقعاً نخستین پیش‌نویس هرگونه اطلس سلولی برای مغز در حال توسعه است.»

این نقشه‌ها می‌توانند ابزار مهمی برای مطالعه بیماری‌های عصبی مانند اوتیسم و اسکیزوفرنی باشند. زنگ توضیح می‌دهد: «اکنون می‌توانیم داده‌ها را بررسی کنیم و ژن‌هایی را شناسایی کنیم که در زمان و سلول خاصی نقش کلیدی دارند.» زولتان مولنار، عصب‌شناس توسعه‌ای در دانشگاه آکسفورد، اضافه می‌کند: «یک دوران بسیار هیجان‌انگیز برای پژوهش در پیش است.»

این مطالعات بخشی از شبکه اطلس سلولی ابتکار BRAIN (BICAN) است؛ پروژه‌ای که در سال ۲۰۲۲ توسط مؤسسه ملی سلامت آمریکا با بودجه ۵۰۰ میلیون دلار برای ایجاد نقشه‌های مرجع مغز پستانداران آغاز شد.

الگوهای توسعه مغز

دو مقاله به بررسی قشر مغز موش، بخشی از مغز که در ادراک و عملکردهای شناختی نقش دارد، پرداخته‌اند.

زنگ و همکارانش روند توسعه قشر بینایی موش‌ها از جنین ۱۱.۵ روزه تا موش ۵۶ روزه را بررسی کردند و اطلس ۵۶۸,۶۵۴ سلول منفرد با ۱۴۸ خوشه سلولی و ۷۱۴ زیرگونه ایجاد کردند. به گفته زنگ، «این نخستین اطلس با وضوح بالا از توسعه قشر مغز است که مراحل پیش از تولد و پس از تولد را شامل می‌شود.»

یکی از نکات جالب، ادامه تمایز نورون‌ها به هویت‌های تخصصی پس از تولد بود، به ویژه بین روز ۱۱ (زمان باز شدن چشم‌های موش‌ها) تا روز ۲۱.

مطالعه دیگری روند توسعه مغز جنین‌های انسانی را بررسی کرده است. توماش نوواکوسکی، عصب‌شناس دانشگاه کالیفرنیا، سان‌فرانسیسکو، می‌گوید: «چگونگی ظهور انواع مختلف سلول‌های مغزی پرسشی دیرینه در عصب‌شناسی توسعه است.» او و همکارانش بافت مغز هشت جنین در مراحل مختلف را بررسی کرده و یک نقشه شجره‌نامه سلول‌های قشری انسانی ایجاد کردند.

آن‌ها ۶,۴۰۲ سلول پیش‌ساز شناسایی کرده و به هر یک بارکد DNA منحصر به فردی دادند تا بتوانند مسیر تمایز هر سلول را پیگیری کنند. نوواکوسکی و تیمش دریافتند که پیش از هفته بیستم، سلول‌های پیش‌ساز عمدتاً به نورون‌های تحریکی تبدیل می‌شوند، اما پس از هفته بیستم، به تولید نورون‌های بازدارنده روی می‌آورند.

همچنین تولید سلول‌های دیگر مغز مانند آستروسیت‌ها و الیگودندروسیت‌ها در انسان «طولانی‌تر و پیوسته‌تر» از موش‌ها است. نوواکوسکی می‌گوید: «ما هنوز نمی‌دانیم چه چیزی این برنامه‌ها و تغییرات را کنترل می‌کند یا چرا در زمان‌های دقیق رخ می‌دهند؛ پاسخ به این پرسش‌ها هدف مطالعات آینده خواهد بود.»

اخبار تاپ حوادث

تبلیغات
تبلیغات
تبلیغات