کودک 3 ساله که به دلیل کرونا در کمتر از 3 ساعت جان سپرد + عکس
تبلیغات

کرونای انگلیسی اما فقط در خوزستان نماند و به دیگر شهر و استانها نیز سرایت کرد. اما مهم در شیوع کرونای انگلیسی این است که بسیار سریع منتقل می شود و کودکان، نوجوانان و جوانان را به سرعت به کام مرگ می فرستد.

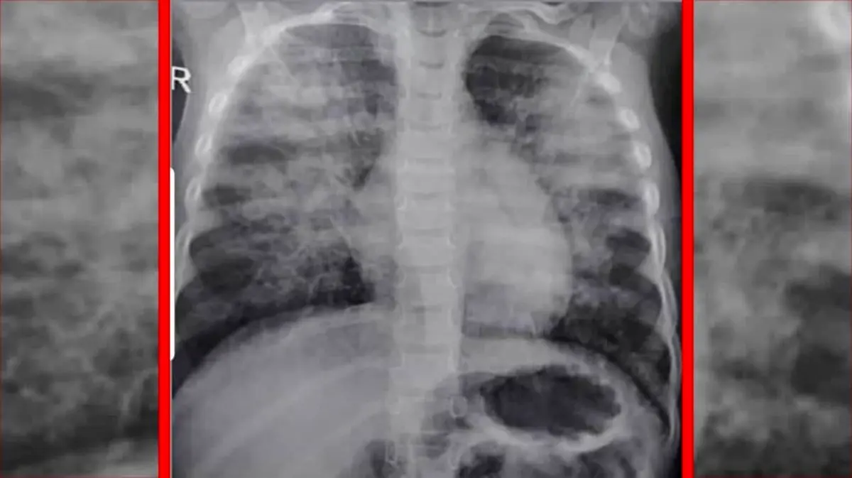
ریه بچه 3 ساله در خوزستان

دکتر هادی یزدانی، پزشک و نائب رئیس هیئت داوری حزب اتحاد ملت ایران اسلامی در توئیتر خود عکس ریه یک کودک 3 ساله را منتشر کرده و نوشت: این عکس را امشب یکی از دوستانم در اینستاگرام گذاشته بود. عکس ریه‌ی یک کودک ۳ ساله‌‌ اهل یکی از شهرهای خوزستان که دچار کووید_۱۹ شده و کمتر از ۳ ساعت پس از ورود به بیمارستان فوت می‌کند. ریه‌های درگیر کودک را ببینید و کمی بترسید؛ کرونا این روزها جوان و پیر نمی‌شناسد.آخرین قیمت های بازار ایران را اینجا کلیک کنید.

 

اخبار تاپ حوادث

تبلیغات
تبلیغات
تبلیغات

وبگردی