رکنا:مراسم تجلیل از خبرنگاران حوزه نیروی انتظامی استان البرز امروز برگزار رشد.
رکنا: برداشتن یک ابروی زیبا نیاز به این تکنیک ها دارد.
رکنا: یکی از ویتامین های پرخاصیت برای رشد مو ویتامین ای است.
رکنا: این گربه زیبا به دلیل بیماری که صاحبش داشت رشد موهایش به اندازه ای شده بود که از آن به عنوان گربه هیولایی یاد می کنند.
رکنا: با بالا رفتن قیمت ارز و سکه قیمت خودرو هم در بازار بالا رفته و شاید اگر نگاهی به قیمت برخی از خودروهای داخلی بیندازید برچسپ های قیمتی که بر روی برخی از خودروها ببیند را باور نکنید.
حوادث رکنا: یک دختربچه فیلیپینی تمام زندگیاش را با قل دومی که به شکلی عجیب بر روی شکمش رشد کرده گذرانده است.
رکنا: این روش ها باعث افزایش رشد مو می شود.
رکنا: این نوجوان آمریکایی به دلیل یک بیماری نادر رشد قدی اش متوقف نمی شود و اکنون 2 متر و 37 سانتی متر قد دارد.
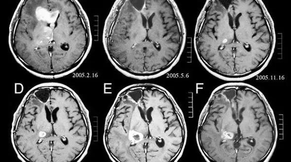
رکنا: محققان دریافتند انجام سی تی اسکن رشد تومورهای مغزی را افزایش می دهد.
رکنا: سامسونگ در فصل گذشته به دنبال کاهش فروش سری اس 9 دچار کاهش میزان سوددهی شد. بخشی این کاهش فروش به خاطر رشد سریع فروش کمپانیهایی مثل هوآوی و شیائومی نیز بود. امروز منبعی کرهای اطلاعاتی را از…
رکنا: شاخص دلار آمریکا به رکورد یک سال اخیر نزدیک شد و همزمان ارزش طلای جهانی در مبادلات امروز (جمعه) برای ششمین روز متوالی افت قیمت را در بازارهای جهانی ثبت کرد. البته پس از جبههگیری دونالد ترامپ…
رکنا: این راه های مراقبتی به حفظ سلامتی ناخن ها کمک می کند.