رکنا: برای اینکه از سنگ لوزه رهایی یابید راهکارهای زیر را امتحان کنید.
رکنا: پیروی از یک رژیم دو هفته ای با لیمو فورا لاغرتان می کند.
رکنا: روغن نعناع و خواص بی نظیر آن برای سلامتی را دست کم نگیرید.
رکنا: دانشمندان در غاری در فیلیپین ۱۳ فسیل استخوان و دندان یافتهاند که گمان میرود مربوط به گونهای ناشناخته از انسان باشد. نتایج این کشف به تازگی در نشریه علمی معتبر نیچر منتشر شده است.
رکنا: فرمانده کل سپاه گفت: گوشت نیروهای نظامی آمریکا در منطقه زیر دندان ماست و خودشان هم میدانند که جرأت اقدام نظامی علیه ایران ندارند. …
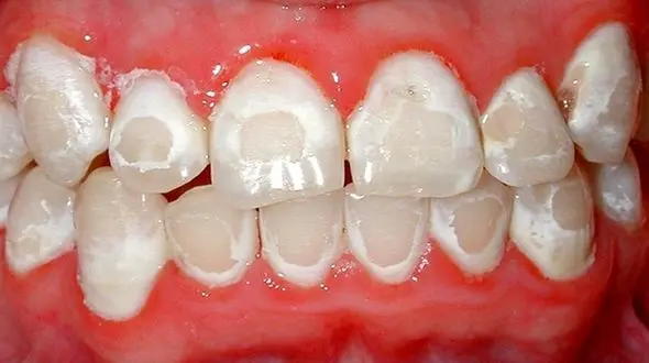
رکنا: سفید کردن دندان ها در جامعه امروز تبدیل به مدی تخریب گر شده است که سلامت دندان ها را تهدید می کند.
رکنا: برای از بین بردن درد دندان این راهکارهای مفید را به کار بگیرید.
رکنا: یک دندانپزشک با اشاره به فواید جرمگیری دندان، گفت: جرمگیری تنها یک شیوه زیبایی و فقط برای سفیدی دندان نیست بلکه به عنوان روشی برای جلوگیری از پوسیدگی دندان هم استفاده میشود.
رکنا: جوش شیرین، سرکه و... واقعا دندان ها را سفید می کند و جزو درمان های خانگی به شمار می روند.
رکنا: هرگاه روی دندان های خود لکه ای مشاهده کردید آن را جدی بگیرید. چراکه نشانه ابتلا به بیماری سلیاک است.
رکنا: بسیاری بر این باورند که هیتلر در سنگرهای بتونی زیر شهر برلین همراه با اوا براون خودکشی کرده است.
رکنا: برای اینکه مسواک زدن را بهدرستی انجام دهید، باید اصولی را رعایت کنید که در ادامه این مطلب به آنها اشاره کردهایم.