ناباروری یکی از مشکلات نسبتاً شایع در میان زوجها است که میتواند در اثر مشکلات باروری در زنان یا مردان رخ دهد. علائم ناباروری در همه افراد یکسان نیست و بسته به علل ناباروری زنان و مردان ممکن است…
رکنا: چند اقدام ساده میتواند به جلوگیری از شبادراری کمک کند.
حوادث رکنا: کارشناس تصادفات پلیس راهور تهران بزرگ در خصوص ضوابط و قوانین رانندگی بانوان در دوران بارداری توضیحاتی داد.
رکنا: 6 دمنوش گیاهی که موجب تعادل هورمونی میشوند را معرفی می کنیم.
بارداری یک زن 53 ساله از دامادش راز رابطه پنهانی شان را فاش کرد.
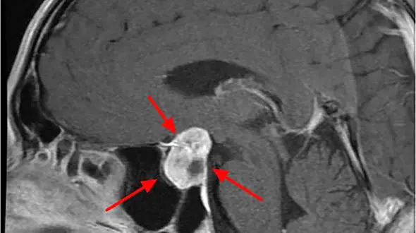
رکنا: چگونگی ایجاد تومور هیپوفیز ، علائم و تشخیص را در این مطلب بخوانید.
پسر 19 ساله با پیرزن 76 ساله صاحب بچه شدند !
میان وعده یکی از وعده های غذایی است که عمدتا میان وعده های اصلی غذا مانند صبحانه، ناهار و شام صرف می شود. بسیاری از افراد تصور می کنند که میان وعده تنها برای رفع گرسنگی است و اهمیت تغذیه ای ندارد و…
رکنا: یک نوشیدنی رایج که قد بچه شما را در دوران بارداری کوتاه میکند بشناسید.
رکنا: بهترین رژیم غذایی را برای دوران بارداری در این مطلب به شما معرفی خواهیم کرد.
رکنا: استاندار گیلان به اجرای صحیح سیاست های ابلاغی در حوزه حمایت از خانواده تاکید و تصریح کرد: بوروکراسی اداری برای مادران شاغل باعث تضعیف روحیه آنان برای فرزندآوری مجدد می شود و با توجه به رشد…
رکنا: مادرانی که در دوران بارداری سطوح ویتامین B۱۲(کوبالامین) یا B۹ (فولات) خون آنان افزایش مییابد، احتمال بیشتری دارد که فرزندان اوتیسمی داشته باشند.