حوادث رکنا : پروندههای واحدی که در ساختمان واحد ثبتی شهرک صدرا در پی نا آرامی های اخیر آتش گرفته بود به دلیل اسکن شدن خوشبختانه آسیبی ندیدند.
حوادث رکنا: رئیس سازمان امداد و نجات هلالاحمرگفت: ۱۷ روستا به علت زلزله دچار آسیب شدهاند که این آسیب در هفت روستا بین ۳۰ تا ۱۰۰ درصد ارزیابی شده که قطعا موضوع اسکن اضطراری ساکنان آن از اولویت…
رکنا : نسخهای منحصر به فرد و ارزشمند از «انجیل» با زبان سریانی و با قدمتی حدود هزار ساله که از پوست ماهی ساخته شده، در کتابخانه مرکزی تبریز نگهداری میشود.
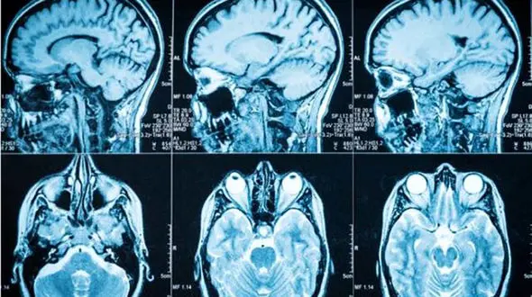
رکنا: اسکن MRI مغز صدها زندانی نشاندهندهی وجود تفاوتهای درخورتوجه در مغز افرادی است که مرتکب قتل شدهاند.
رکنا: در یک عمل جراحی منحصر بفرد و پیچیده، برای بیماری که مورد اصابت گلوله در ناحیه فک و صورت قرار گرفته بود، از طریق اسکن سه بعدی مدلی طراحی و بازسازی فک پایین و نسوج نرم کف دهان و گردن صورت گرفت.
رکنا: پرتوهای اشعه ایکس دستگاه های رادیولوژی و سی تی اسکن دارای عوارض سرطان زاهستند.
رکنا: سریع ترین روش برای درمان سینوزیت را بیاموزید.
رکنا:یکی از اقدامات سفر، ساک بستن است. شاید به نظر شما این کار راحت باشد، اما در واقعیت اینطور نیست، زیرا شما باید لباسهایی که بر میدارید را با نهایت دقت انتخاب کنید.
رکنا: سنجش تراکم استخوان یا دانسیتومتری استخوان نام روشی است که با استفاده از آن می توان سفتی و سختی و درجه محکم بودن استخوان های بدن را تعیین کرد.
رکنا: در عمل نادر قلب باز تومور 5 سانتی از قلب بیمار64 ساله فسائی خارج شد.
رکنا: چاقی شکمی با کوچک شدن مغز ارتباط دارد.
رکنا: بیماری قوز قرنیه را بیشتر بشناسید.