گلوله در پروتز سینه زنی گیر کرد و او زنده ماند + عکس های باورنکردنی / کانادا
کدخبر:
561543
لینک کپی شد
حوادث رکنا: یک زن در کانادا هدف گلوله قرار گرفت و برخورد شی با پروتز سینه جانش را از مرگ نجات داد.
کدخبر:
561543
لینک کپی شد
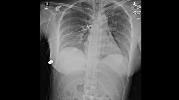
به گزارش گروه ترجمه رکنا، پروتز سینه جان زن جوانی در کانادا را که مورد حمله تعدادی افراد ناشناس قرار گرفته بود نجات داد.
گزارش رسانه های کانادا حاکی از آن است که زن 30 ساله پس از شلیک گلوله به سینه اش متوجه خونریزی در آن ناحیه شد که با مراجعه به بیمارستان پزشکان متوجه شدند که گلوله به ایمپلنت سلیکونی سینه قربانی برخورد کرده که خوشبختانه جانش را از مرگ نجات داده است.
![]()
برخورد گلوله با پروتز سینه زن کانادایی
پزشکان با خارج کردن سلیکون از سینه این زن تجویز آنتی بیوتیک کرده تا از عفونت جلوگیری شود و از او خواستند تا مدتی از گذاشتن پروتز جدید جلوگیری کند.
هنوز علت شلیک گلوله و عاملان آن مشخص نشده است.
برای ورود به کانال تلگرام ما کلیک کنید.
ارسال نظر