آیا لمینت و کامپوزیت برای همه مناسب است؟
رکنا: عضو هیاتعلمی دانشگاه علوم پزشکی همدان و متخصص دندانپزشکی ترمیمی با تأکید بر اینکه همه افراد نیاز به انجام درمانهای زیبایی دندان مانند لمینت یا کامپوزیت ندارند، گفت: این درمان ها تنها در موارد خاصی توصیه میشود؛ مانند دندانهایی که دچار شکستگی های خفیف، بعضی از بد رنگی ها، فاصله بین دندان ها یا نامرتبی خفیف هستند.
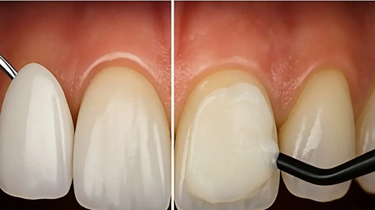
به گزارش رکنا به نقل از وبدا، ابراهیم یارمحمدی عضو هیاتعلمی دانشگاه علوم پزشکی همدان و متخصص دندانپزشکی ترمیمی افزود: لمینت ها از جنس سرامیک ساخته میشوند و نیاز به تراش بیشتری نسبت به کامپوزیت دارند. در حالی که ونیرهای کامپوزیتی از رزین ساخته میشوند که بدون تراش و یا با حداقل تراش بر روی دندان قرار میگیرند.
او ادامه داد: در درمان لمینت، دندان تراش داده میشود، قالبگیری انجام شده و به لابراتوار ارسال میشود؛ اما در کامپوزیت، دندانپزشک مستقیماً ماده کامپوزیتی را روی دندان شکل میدهد و نیازی به قالبگیری یا ارسال به لابراتوار ندارد.
ماندگاری، هزینه و رنگپذیری
این متخصص دندانپزشکی خاطرنشان کرد: لمینتهای سرامیکی دوام بیشتری دارند و بین ۱۰ تا ۱۵ سال عمر میکنند، در حالی که کامپوزیتها بین ۵ تا ۱۰ سال ماندگاری دارند. همچنین، لمینتها به دلیل ماهیت سرامیکی خود رنگپذیری ندارند، اما کامپوزیتها ممکن است دچار تغییر رنگ شوند که با پولیشهای دورهای قابل اصلاح هستند.
یارمحمدی افزود: هزینه لمینت بیشتر از کامپوزیت است، چراکه شامل هزینه ساخت توسط لابراتوار نیز میشود. اگر لمینت دچار شکستگی یا لبپریدگی شود، معمولاً نیاز به تعویض کامل دارد، اما در کامپوزیتها این آسیبها بهسادگی قابل ترمیم هستند.
لمینت و کامپوزیت برای چه کسانی مناسب نیست؟
این عضو هیات علمی دانشگاه تاکید کرد: درمانهای زیبایی دندان برای همه افراد توصیه نمیشود. در مواردی که فرد نیاز واقعی به درمان ندارد یا به شکلی غیر اصولی انجام شود، ممکن است با عوارضی چون التهاب لثه یا پوسیدگی دندان مواجه شود. بهویژه افرادی که دارای نامرتبی شدید دندانها هستند، کاندیدای مناسبی برای این روشها نیستند.
او گفت: در درمان با لمینت و کامپوزیت، ضخامت دندان افزایش مییابد و این مسئله میتواند باعث التهاب لثه شود؛ بنابراین رعایت دقیق بهداشت دهان و دندان، استفاده منظم از نخ دندان و تمیز نگه داشتن نواحی نزدیک لثه، اهمیت زیادی دارد.
به فضای مجازی اعتماد نکنید
دکتر یارمحمدی درباره تبلیغات فضای مجازی هشدار داد و گفت: متأسفانه واژههایی مانند «طرح لبخند» که در فضای مجازی رواج یافته، از نظر علمی معنا و جایگاهی ندارد. صرفاً دندانهای بسیار سفید با ظاهر مصنوعی، معیار زیبایی نیستند. گاهی دندانهایی که ظاهر طبیعی و سالم دارند، بهمراتب زیباتر از دندانهای خیلی سفید، مصنوعی و غیرطبیعی هستند.
وی در پایان تاکید کرد: افرادی که قصد انجام درمانهای زیبایی دارند، باید حتماً با دندانپزشک مشورت کنند و از تصمیمگیری بر اساس تبلیغات یا ظواهر در فضای مجازی خودداری کنند.
ارسال نظر